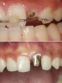
얼마전 대치동에 사는 A씨는 중학생이 된 아들이 자전거를 타다가 넘어져 앞니가 부러졌다는 소식을 듣고 깜짝 놀라 치과를 방문했다. 간단한 응급치료를 받고 한 달이 지난 뒤 아들이 치아색이 변했다는 이야기를 듣고 다시 치과를 방문하니 신경치료를 해야 한다는 이야기를 들었다. 활동량이 많아지는 계절이 다가오면서 예기치 않은 사고로 앞니가 부러지는 사고를 당하는 사람이 많아지고 있다. 앞니가 부러진 경우 적절한 치료법에 대해 뉴연세치과 보라매클리닉 김선욱 원장은 “앞니가 파절된 경우 파절된 양, 파절라인의 위치 등에 따라 다양한 치료법이 있다”고 말한다. 파절된 양이 단순히 앞니 끝 절단면에 국한된 경우는 간단한 레진수복물로 모양만 만들어 주거나 다듬어 주면 된다. 하지만 이 경우에도 위와 같이 향후 치아가 죽는 치수괴사로 인해 치아색이 변해 결국 치아신경치료를 해야 할 가능성이 있다. 치수 괴사 여부는 치아파절 당시에 바로 알 수는 없고 1~2달 지난 후 치아색이 변하거나 치과에서 간단한 치아 생활력 검사를 통해 알 수 있다. 치아신경치료 후에는 실활치 미백으로 원래 색을 회복해 주거나 파절량이 많다면 세라믹 보철물로 치아를 수복해 주면 된다. 파절된 양이 치아 뿌리까지 가지는 않았지만 치수의 노출을 동반한다면 파절 당시 바로 응급으로 신경치료를 해주어야 한다. 그렇지 않다면 극심한 통증을 동반하게 된다. 치수가 노출될 정도의 파절이라면 신경치료 후 세라믹 보철물울 해 주어야 할 경우가 많다. 파절된 양이 너무 많아 세라믹 보철물을 씌울 치아가 남아 있지 않다면 치아의 양을 보강해주는 포스트치료를 병행해야한다. 포스트치료란 신경치료가 된 치아의 뿌리에 기둥을 심어 세라믹 보철물이 들어갈 부분의 치아를 보강해주는 치료방법이다. 만약 파절된 양이 뿌리 부분까지 포함한다면 치료방법은 보다 복잡해진다. 일단 뿌리의 하방부위까지 파절라인이 내려갔다면 치아를 살려서 쓰기는 힘들다. 이때에는 치아를 발치 후 임플란트 혹은 브리지 보철물로 치료를 받아야 한다. 하지만 파절라인이 뿌리까지는 내려갔으나 상방부위에 있다면 희망을 가져볼 수 있다. 이 경우에도 나중에 보철물이 들어가기 위해 치아를 보강해 주는 포스트 치료를 시행해야하는데 그러기 위해서는 파절라인을 잇몸 위까지 올려주어야 한다. 그러기 위한 방법으로는 잇몸이나 잇몸뼈자체를 내려주거나 아니면 치아를 끌어올려 파절라인이 잇몸위로 올라오게 해주는 치아강제정출치료를 하면 된다. 잇몸이나 잇몸뼈를 내리는 술식은 간단하지만 잇몸자체가 내려가기 때문에 주변 잇몸과 조화를 이루기 힘들다는 단점이 있다. 반면에 교정력을 이용해 치아를 끌어올려주는 치아강제정출치료는 자연스런 잇몸라인을 가질 수 있지만 시간이 많이 걸리는 단점이 있다. 또한 위와 같은 방법들은 치아가 드러난 부분과 뼈속에 있는 부분의 비율, 즉 치관대 치근 비율을 고려해서 치료여부를 결정해야 한다. 이와 같은 모든 치료를 잘 받았다 하더라도 뿌리의 보이지 않는 부위에 금이 갔다면 치료 후 염증을 유발할 수 있다. 이 경우에도 안타깝게도 치아를 발치해야 한다. “예기치 않는 사고로 앞니가 부러진 경우 당황하지 말고 가까운 치과를 방문하여 적절한 응급치료를 받은 후 향 후 예후에 따라 치료방법 결정하는 것이 현명하다”고 동작구 신대방동 뉴연세치과 김선욱 원장은 조언하고 있다. /생활경제팀 osenlife@osen.co.kr 치아강제정출치료(위)와 포스트 치료 모습.
