신대방동에 사는 N씨는 어느 순간 본인의 앞니가 닿지 않는 것을 깨달았다. 그래서 유심히 다른 사람과 비교해 보니 본인이 앞니가 닿지 않아 정상적으로 국수같은 것을 끊지 못하고 발음도 새는 것을 발견했다. 치과에 문의한 결과 개방교합이라는 부정교합으로 진단을 받았다.
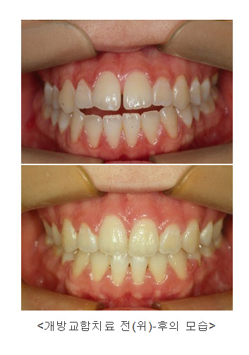
개방교합이란 이렇게 비정상적으로 앞니가 닿지 않는 부정교합을 말한다. 정상적인 앞니사이의 교합은 윗니가 아랫니를 2mm정도 덮어줘야 한다. 또한 앞니의 절단면끼리 닿았을 때는 어금니는 닿지 않아야 정상이다.

이러한 개방교합을 방치 할 경우 일단 앞니가 정상적인 절단기능을 하지 못하게 되어 음식을 먹을 때 불편하게 된다. 또한 음식을 삼킬 때 정상적으로는 앞니가 서로 닿으며 앞쪽에서 막아주며 넘겨야하는데 앞니가 닿지 않으므로 혀로 앞니사이공간을 막아줘야 한다. 이러한 혀의 작용으로 앞니가 앞으로 돌출되며 개방교합은 더 심해지고 그럴수록 더 혀의 힘이 강해져서 또다시 개방교합이 심해지는 악순환이 반복되게 된다.
그 뿐만 아니라 치아끼리 닿는 치찰음을 발음할 수 없으므로 발음도 새는 문제가 생긴다.
또한 입이 잘 안 다물어져서 구호흡을 하는 경우 빈번하게 상기도 감염이 생겨 편도가 자주 붓게 된다. 성장기의 경우 이러한 작용으로 턱이 하후방으로 변위되어 안모의 변화도 생길 수 있다. 이러한 개방교합의 치료는 그 원인과 시기, 그리고 정도에 따라 달라진다.
개방교합이 코가 잘 막히고 편도가 자주 붓는 이비인후과적 원인이라면 일단 그러한 증상이 개선된 후에 치료를 해야 재발을 줄일 수 있다. 그 이외에도 손가락 빨기 같은 습관에 의해서도 개방교합이 생길 수 있으므로 정확한 분석이 필요하다.
개방교합의 치료시기는 빠르면 빠를수록 좋다. 소아 청소년 시기의 성장이 남아있는 경우라면 어금니를 올려주는 소아교정장치로 치료가 가능할 수 있다. 성장이 멈춘 후라면 개방교합의 정도에 따라 일반교정으로 치료할 지 아니면 양악수술을 해야 할지 결정해야한다. 일반적으로 앞니사이의 거리가 4~5mm이상이면 수술을 고려해 봐야 한다.
일반교정으로 치료가 가능하다면 발치교정치료를 할지 아니면 비발치로 치아교정치료를 할지 결정해야한다. 이 경우 치아가 고르지 못하거나 돌출입인 경우는 발치교정치료를 하는 것이 좋다. 하지만 주걱턱 성향이 있는 경우에 발치 교정을 할 경우 입이 너무 들어가 보일 수 있다.

이에 대해 뉴연세치과 강남클리닉의 김선욱 원장(사진)은 "개방교합의 경우 그 진단 결과에 따라 다양한 치료계획이 나올 수 있다. 하지만 무엇보다도 중요한 것은 개방교합치료 후 재발을 최소화 하는 것이다"고 조언하고 있다. /생활경제팀 osenlife@osen.co.kr
화보로 보는 뉴스, 스마트폰으로 즐기는 ‘OSEN 포토뉴스’ ☞ 앱 다운 바로가기