유명 의류업체 디자인실장인 전희선 씨(가명, 37세)는 최근 들어 발이 아프고 무릎통증이 잦아져 정형외과를 찾았다. 평소에도 제법 통증이 있었지만 외근이 많은 특성 상 다리를 무리하게 사용한 것으로 여겨 휴식과 마사지 정도로 통증을 겨우 해소하곤 했지만, 이내 통증이 더해지고 걷기까지 불편해면서 병원을 찾을 수 밖에 없었다.
그런 전씨가 정작 병원에서 진단받은 병명은 이름도 생소한 ‘무지외반증’. 또한 의사는 그 원인이 평소 전씨가 즐겨 신는 하이힐 때문이고, 앞으로는 그런 신발을 신지 말아야 한다고 말해 더욱 우울해 졌다.
평소 작은 키 때문에 패션모델이나 패션 관계자들 사이에서 위축되었던 자신을 지탱해주던 것이 바로 10cm 높이의 하이힐이었기 때문이다.

● 무지외반증, 엄지발가락 관절이 돌출되고 부종과 통증이 특징
무지외반증은 무지(엄지발가락)가 바깥쪽으로 휘어지는 것(외반)을 말하는 질환명이다.
엄지발가락이 두 번째 발가락 쪽으로 휘어지면서 엄지발가락 관절부위가 돌출되고 2차적으로는 발바닥에 굳은살이 생기게 된다. 진행되면서 부종과 통증이 동반된다.
서울 나누리병원 윤재영 부장은 “걸을 때 엄지발가락과 엄지발가락 둘째 발가락을 밀면서 통증이 유발되고, 비정상적인 보행으로 무릎이나 허리까지 스트레스를 유발하여 관절통까지 생기게 되는데 보통 15∼20도 이상 휘어졌을 경우 무지외반증이 심하게 진행된 상황이고, 30도 이상이면 바로 수술적인 치료가 필요한 상황이다”고 경고했다.
● 여성 사회진출 늘어나고, 외모 중시하는 풍조가 무지외반증 환자 늘린다
무지외반증은 하이힐을 주로 신어 온 서구에 비해 아시아 등지에서는 환자가 적었으나 최근들어 환자가 증가하고 있는 것으로 나타났다. 건강보험심사평가원에 따르면 우리나라의 경우도 2004~2008년 동안 무지외반증으로 진료를 받은 사람이 연평균 약 20%정도씩 증가한 것으로 나타났다. 그 중 여성이 약 90%를 차지하며 남성의 10배가 넘는 수치를 보였다.
강서 나누리병원 박신이 과장은 “무지외반증은 유전적인 요인도 크지만 후천적으로는 여성들의 하이힐이 주요 원인이다”라며 “앞이 뾰족한 하이힐을 지속적으로 신으면 체중이 발가락 쪽으로 쏠리게 되면서 무지외반증이 생기기 쉽다. 결국 무지외반증은 하이힐이 대중화되면서 여성들에게 흔히 발생하는 정형외과 질환이 됐다. 그래서 최근에 킬힐 등 인기가 우려스러운 점도 있다”고 말한다.
전문의들은 여성들의 사회진출이 늘어나고, 큰 키를 선호하는 외모중시 현상이 무지외반증 발병율을 높이고 있다고 분석한다. 하이힐을 선호하는 여성의 대부분이 키가 좀 더 커 보이도록 하기 위해 하이힐을 신기 때문이다. 결국 사회적인 풍조가 하이힐을 고집하는 여성들이 늘어나게 하고, 무지외반증 환자도 따라서 늘어날 수 밖에 없다는 것이다.
● 치료 까다롭던 무지외반증, 빠른 일상 가능할 수준으로 발전
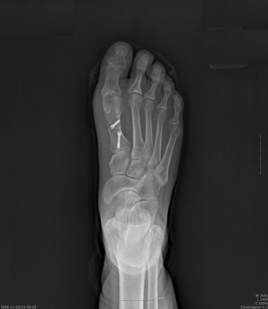
무지외반증은 증상이 심하지 않을 경우 통증을 줄이기 위해 진통제와 함께 보조기, 특수 교정 신발을 사용하게 된다. 하지만 발가락이 35도 이상 휘면 엄지발가락과 인대를 바로 잡아 주는 절골술을 통해 치료하게 된다. 튀어나온 엄지발가락 뼈 일부를 절단하여 똑바로 고정한 뒤 핀을 박아 정상적인 형태로 만들어주는 수술이다.
무지외반증 수술은 뼈를 수술하지만 실제로는 간단한 수술이다. 최근에는 3∼5cm만 절개하는 최소 절개 수술법과 녹는 봉합사를 이용해 흉터 최소화도 가능하다. 수술 후에도 3∼4cm의 작은 흉터만 남으며 그마저도 시간이 지나면서 사라져 흉터에 대한 환자들의 부담감을 최소화했다.
또한 수술은 발목 국소마취로 30∼40분 정도 진행되며, 회복이 빨라 2, 3일 만에 퇴원하게 되며 핀은 수술 후 6주 후에 제거하고 그 이후에는 걷는데 어려움을 겪지 않을 정도로 좋아진다. /생활경제팀 osenlife@osen.co.kr
화보로 보는 뉴스, 스마트폰으로 즐기는 ‘OSEN 포토뉴스’ ☞ 앱 다운 바로가기