초등학교에 다니는 자녀를 둔 대치동에 사는 김 모씨는 최근 걱정이 이만 저만이 아니다. 동갑내기인 옆집 누구누구는 벌써 키가 많이 컸던데... 우리 아이는 얼마나 자랄까? 언제 까지 자랄까? 혹시 다 자라서 더이상 성장이 없는건 아닐까? 여간 궁금한 게 아닐 수 없다.
나이가 들어감에 따라 사람은 성장을 한다. 키도 크고 몸무게도 늘고... 하지만 정확한 성장량과 방향을 짚어내는 건 복권 번호를 맞추는 것 만큼이나 어렵고 힘들다. 하지만 아주 불가능한건 아니다. 대략적으로 얼마나 자랐는지, 앞으로 잔여성장은 어느 정도나 남았는지 정도는 파악이 가능하니까.
사람의 키가 자라는 건 뼈가 자라는 거다. 뼈의 길이 및 부피 성장에 의해 키가 자라고 골격이 커진다.

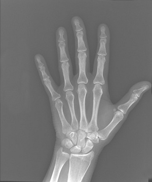
치과에서 교정 치료를 할 때에도 이런 골격적인 성장이 매우 중요하며 골격 성장의 양과 패턴에 따라 치료 방법이 결정되기도 한다. 간혹 치과에 교정치료를 위해 내원 하였을 때 얼굴 x-ray 말고도 손의 사진을 찍기도 한다. 왜 찍냐고 의아해 하시는 이들도 있겠지만 성장의 평가에 있어서는 반드시 필요한 사진이다. 손가락과 팔목을 이루는 뼈의 형태로 성장정도와 잔여 성장을 짐작할 수가 있기 때문이다.
사람의 손가락은 엄지를 제외하고는 세 개의 뼈로 이루어져 있다. 제일 끝부분을 말절골, 중간을 중절골이라고 부르며 각각의 뼈 사이에는 골단(epiphysis)이 있는데 성인에서는 각각의 뼈와 붙게되어서 보이지가 않는다. 즉 손사진만 보아도 어린이인지 성인인지 구별할 수가 있게 된다.
이중에서 엄지의 척측 종자골이 나타나게 되는 시기는 키가 가장 많이 자라는 최대 성장기의 약 1년전 쯤에 관찰 되므로 매우 중요한 포인트가 된다. 잔여 성장을 예측할 때 중요한 손가락뼈는 중지와 약지이다. 또한 손목의 요골의 융합정도를 가지고 성장 완료 시기를 확인할 수 있는데 중간부터 붙어서 서서히 가장자리까지 붙으며 가장자리 끝만 조금 남기고 융합이 되었다면 거의 성장 종료시기라고 해석할 수 있고 더 이상 키는 크지 않는다고 할 수 있다.

치과에서 교정치료를 할 때에도 이런 손의 뼈들을 참고해서 헤드기어나 고정식 교정장치, 발치등의 결정을 하게 되고 주걱턱이나 무턱 때문에 양악수술을 할 때에도 손목사진을 참고로 수술시기를 결정하게 되므로 매우 중요한 사진이라고 할 수 있겠다. 강남구 대치동 선릉역 뉴연세치과 우용제 원장(사진)은 "손목 사진은 교정치료를 위해 매우 중요한 사진이며 필요하다면 언제 시작해야 하는지, 교정치료가 필요한지를 판단하는 중요한 요인이기 때문에 가까운 교정 전문 치과를 찾으셔서 치료를 위한 적절한 시기를 찾는 것이 무엇보다 중요하다"고 밝혔다. /생활경제팀 osenlife@osen.co.kr
화보로 보는 뉴스, 스마트폰으로 즐기는 ‘OSEN 포토뉴스’ ☞ 앱 다운 바로가기