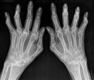
▶극심한 고통과 함께 관절의 변형이 나타나고, 관절기능 상실
올해 48세인 A씨(여)는 수개월 전부터 양 손목과 손가락 마디마디에 통증과 뻣뻣함을 느끼기 시작하였다. 손가락 마디마디에 통증이 있고나서부터 하루 종일 손이 퉁퉁 부어있음은 물론이며, 아침에 일어나기가 힘들고, 조금만 움직여도 극심한 체력적 피로감에 시달렸다. 통증을 참을 수 없어 찾았던 병원에서 A씨는 류마티스 관절염 진단을 받게 되었다
A씨의 경우에서와 같이 류마티스 관절염은 보통 손목이나 손가락 등 신체의 관절들이 붓고 아픈 증상에서 시작되는데 남성보다는 주로 20~50대 여성에게서 자주 발생하게 되는 질병으로써 다발성 관절염을 특징으로 하는 원인불명의 만성 염증성 질환이다.

아직까지 류마티스 관절염의 발병 원인에 대해서는 명확하게 밝혀지지는 않고 있다.
다만, 환경적 요인과 유전적 요인이 복합적으로 작용해서 우리 몸의 면역세포에 이상이 생겨 신체 여러 부위의 관절에 염증이 생기는 자가면역질환이라고 알려져 있다.
퇴행성관절염이 10~20년 동안에 걸쳐 서서히 진행되는 것과는 다르게 류마티스 관절염은 1~2년 안에 관절의 변형이 빠르게 나타난다. 그러므로 류마티스 관절염은 초기에 치료하여 증상이 번지지 않도록 관리해주는 것이 매우 중요하다.
관절센터가 특화된 의료법인 희명병원(이사장 최백희) 정형외과 김정민 진료부장은 “류마티스관절염은 그 자체만으로도 난치성 질환입니다. 이러한 류마티스 관절염은 통증으로 인해 몸과 마음을 지치게 하며 관절의 기형까지 일으킬 수 있으므로 절대로 방치해서는 안 되며 관절전문병원을 내원하여 전문적인 치료를 받도록 해야 합니다” 라며 초기에 확실한 치료의 필요성을 설명해주고 있다.
초기에 발견했음에도 치료하지 않거나 발병 후에도 제 때 적절한 치료를 받지 못한다면 관절의 파괴와 손가락의 심각한 변형이 일어나게 된다. 심한 경우에는 관절의 제 기능을 모두 상실할 수도 있게 되는 무서운 질환이다.
그렇기에 결코 간과할 수 없는 류마티스 관절염의 치료법은 증상에 따라 약물요법, 수술적 치료 등등 매우 다양하다. 먼저 류마티스 관절염의 약물치료는 증상을 완화하고 병의 진행을 늦추는 효과가 있다.
류마티스 관절염 증상이 심한 편이라면 관절내시경을 이용해 수술할 수 있다. 관절내시경을 이용하여 무릎이나 손목, 팔꿈치 등 거의 대부분의 관절에 침범한 류마티스 관절염을 치료할 수 있지만 손가락이나 발가락 등 내시경이 들어가지 못하는 관절부위는 치료가 어려운 것이 현실이다.
그러므로 류마티스 관절염을 증상이 악화되지 않은 발병 초기에 검진하고 적절한 치료법을 통해서 류마티스 관절염을 치료할 수 있도록 항상 관심을 기울여야 할 것이다. /생활경제팀 osenlife@osen.co.kr
화보로 보는 뉴스, 스마트폰으로 즐기는 ‘OSEN 포토뉴스’ ☞ 앱 다운 바로가기