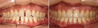
결혼을 앞둔 K양은 웨딩 촬영을 앞두고 여간 앞니 사이의 공간이 신경 쓰이는 것이 아니다. 전통적으로 앞니 사이가 벌어지면 복이 샌다는 믿음 때문에 혹시 시댁에서 싫어하지 않을까 하는 걱정과 본인 스스로도 심미적으로 마음에 들지 않기 때문이다.
그래서 앞니 사이의 공간을 없애기 위해 치과를 찾았는데 치아교정은 시간이 걸려 웨딩촬영까지 치료가 마무리 되기 힘들고 라미네이트 치료는 치아를 삭제해서 싫고, 결국 치아 사이를 레진이라는 재료로 메우는 방법으로 치료를 받을 수 밖에 없었다.
하지만 이에 대해 뉴연세치과 보라매클리닉 김선욱 원장은 "레진으로 치아 사이를 메우는 방법은 간단히 치아 사이 공간을 없앨 수는 있지만, 내구성이 떨어지고 과도한 레진으로 인해 잇몸에 나쁜 영향을 줄 수도 있다"고 말한다.

일반적으로 치아의 크기와 악골의 크기가 정비례하지 않는다. 즉, 키가 크고 덩치가 커서 악골도 큰사람이 꼭 치아도 큰 것은 아니라 이런 사람들은 치아 사이가 벌어져 있는 경우가 많다. 반대로 얼굴이 작아 악골이 작은 사람이라도 치아크기도 꼭 작은 것은 아니라 이런 경우는 덧니가 생기게 된다. 이러한 악골크기와 치아크기의 부조화로 인한 문제로 치아교정이 필요한 경우가 많다.
앞니 사이의 공간을 메우는 방법으로는 크게 치아교정, 치아성형보철치료, 레진 충전 등이 있다. 치아교정의 경우 본인의 치아 그대로 공간을 메울 수 있다는 장점이 있지만, 시간이 걸린다는 단점과 장치를 붙여야 한다는 불편감, 그리고 모든 경우에 치료가 가능한 것은 아니라는 단점이 있다.
치아교정장치를 붙여야 하는 불편감에 대해서는 최근 투명교정이나 인비절라인 같은 착탈식 교정장치가 개발되어 치아교정장치를 붙이지 않아도 치아교정이 가능해 졌다. 하지만 상악의 공간이 크고 하악전치가 상악전치를 치받는 다면 치아교정으로 공간을 메운 후에도 재발이 될 가능성이 많다. 이 경우 꼭 치아교정치료를 원한다면 하악전치사이 공간을 만드는 치간 삭제 후 하악전치를 후방으로 이동시킨 후 상악전치 사이 공간을 메워줘야 한다.
치아 사이 공간이 앞니에 국한되지 않고 전 악궁에 퍼져 있다면 치아교정으로 공간을 다 없앤다 하더라도 혀의 힘에 의해 일부 다시 벌어질 수 있다. 이러한 경우에는 오히려 공간을 한곳으로 몰아버린 후 임플란트나 브리지 같은 보철 치료를 해야 할 수도 있다.
치아성형보철치료란 일반적으로 라미네이트, 혹은 올세람 치료를 말한다. 이 경우 단기간에 공간을 없앨 수 있을 뿐 아니라 원하는 치아모양 및 색을 얻을 수 있다는 장점이 있는 반면에 치아를 삭제해야 한다는 단점뿐 아니라 주기적으로 교체해 주어야 한다. 경우에 따라서는 치료 후 지각과민증상이 나타나 신경치료가 필요할 수도 있다.
레진충전치료법은 치아삭제 없이 치아 사이 공간을 단시간에 메울 수 있지만, 치아모양이 이상해질 수 있으며, 레진충전경계면의 착색 및 레진탈락 및 파절의 위험성이 있다. 또한 과도한 레진충전은 오히려 하방 잇몸에 안 좋은 영향을 미칠 수도 있다.

치아 사이 공간치료에 대해 김선욱 원장(사진)은 "치아 사이 공간이 있다고 다 문제가 되는 것은 아니지만, 여러 목적으로 치료를 원한다면 본인의 잇몸상태 및 교합상태, 그리고 공간의 크기 등을 고려해서 가장 적절한 치료방법을 찾는 것이 현명하다"고 조언한다. /생활경제팀 osenlife@osen.co.kr
화보로 보는 뉴스, 스마트폰으로 즐기는 ‘OSEN 포토뉴스’ ☞ 앱 다운 바로가기