- 자가관리는 물론 성형외과, 피부과 찾는 중년층 상당수…
- 자신에게 맞는 적절한 시술법 선택해야 건강과 젊음 유지할 수 있어
장수동물 중 하나인 거북이는 평균 100년 이상을 산다. 그렇다면 사람은 얼마나 살까? 세계보건기구(WHO)의 발표에 따르면 지구인의 평균 수명은 68세. 특히 한국인의 평균 기대수명은 80세로 2000년 76세였던 것에 비해 4살이 더 증가했다.
이처럼 평균 수명이 점점 길어지면서 ‘오팔족(OPAL•Old People with Active Life)’이라는 신조어도 생겼다. 오팔족은 젊은이 못지 않게 왕성한 사회활동을 하는 50대부터 80대까지의 사람들을 일컫는 말이다. 그들은 자기계발은 물론 꾸준한 운동 등으로 젊게 살기 위해 노력한다.
그러나 이러한 노력에도 피해갈 수 없는 것이 바로 주름살이다. 주름살은 연령이 증가하면서 피부의 표피가 얇아지고 탄력성분인 콜라겐, 엘라스틴 등이 소멸돼 생긴다. 때문에 피부는 탄력을 잃고 수분 유지 능력도 떨어지게 되는 것.
서울 강남구 논현동에 위치한 연세에스병원 성형•뷰티클리닉 심영기 원장은 “최근 눈가나 이마주름, 팔자주름으로 상담하는 중년들이 증가하는 추세”라며 “특히 최근에는 어버이날을 앞두고 자식들이 부모님께 주름제거 시술을 해드리는 경우가 상당수”라고 말했다. 연세에스병원은 ‘실버성형패키지’로 중년들의 주름제거나 피부관리를 전문적으로 상담 및 시술하고 있다.
50대, 주름진 사과 같은 얼굴?
◆이마, 미간의 주름- 자연스런 주름은 연륜을 느끼게 해주지만 굵고 선명한 이마나 미간의 주름은 자칫 더 늙어 보이거나 피곤한 인상을 주기 쉽다. 이럴 경우, 보톡스, 필러 등 간단한 시술로 효과를 볼 수 있다. 장기적인 효과를 원한다면 골드리프트의 만족도가 높다는 평이다. 골드리프트는 순도 99.99%이상의 순금을 가늘게 금사로 뽑아 피부에 탄력을 주는 시술법. 특히 피부에 삽입된 금실은 콜라겐 합성을 도와 얼굴 전체적으로 탄력과 미백, 리프팅의 효과를 볼 수 있다는 것이 장점이다.
◆팔자주름- 팔자주름은 안면 근육의 탄력성이 떨어지면서 지방이 늘어진 것으로 상대적으로 입이 나와 보이거나 심술궂은 인상을 주기 쉽다. 유난히 깊은 팔자주름이 고민이라면 미세지방이식술의 도움을 받을 수 있다. 미세지방이식은 자신의 복부, 옆구리, 허벅지 등에서 지방을 사용하는 방법이다. 특히 자가지방을 미세한 입자로 여러 곳에 나눠 이식하기 때문에 울퉁불퉁해지거나 이물반응 등의 부작용이 거의 없는 것이 특징. 비절개로 시술이 가능하며 한번에 여러 부위의 시술이 가능해 시간적 부담이 적다.

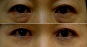
무거운 눈 밑 지방, 다크서클 더욱 심해 보여
눈 밑 지방도 중년들의 대표적인 피부 고민이다. 주름과 마찬가지로 눈 밑에 볼록하게 튀어나온 지방은 나이보다 늙어 보이게 하는 요인 중 하나. 또한 눈 밑의 지방이 도드라지면 그늘이 져 다크서클이 심해 보인다. 특히 아파 보이거나 어두워 보이는 인상을 주기 때문에 중년뿐 아니라 젊은층도 고민하게 된다
심 원장은 “눈 밑 지방은 나이가 들면서 눈 주변의 조직과 지방층의 탄력이 감소하기 때문에 튀어나온다”며 “특히 이런 증상을 갖고 있는 사람들은 처진 지방은 물론 다크서클로 고민하는 경우가 대부분이다”고 말했다.
◆ 눈 밑 지방- 눈 밑의 지방과 주름제거에 효과적인 시술로 ‘하안검 성형술’이 대표적이다. 이것은 눈 밑의 느슨해져 있는 아랫눈썹 부분을 절개해 볼록한 지방을 판판하게 펴주는 방법이다. 과거 지방을 제거해 주던 방법에 비하여 효과도 좋고, 지방을 과도하게 제거하였을 때 생길 수 있는 눈 밑이 꺼져 보이는 등의 부작용의 부담도 적다. 또한 눈 밑에 주름이 많은 경우에는 눈썹 바로 밑은 절개해 늘어진 피부를 없애줄 수 있다.
◆ 다크서클- 피곤함의 대명사로 불리는 다크서클은 눈 밑의 지방이 많이 튀어나와 그늘져 보이는 경우는 하안검 성형술의 도움을 받을 수 있다. 그러나 눈 밑 피부의 미세한 정맥혈관이 늘어나 검푸르게 보이는 정맥혈관의 문제라면 정맥에 직접 약물을 주사해 혈관을 굳혀 서서히 없애는 혈관경화요법으로 좋아질 수 있다. 그 외 피부염이 오래됐거나 기미나 주근깨, 검버섯 등과 같이 피부 자체에 멜라닌 색소침착이 원인인 경우 레이저 등을 이용한 미백치료도 가능하다. /생활경제팀 osenlife@osen.co.kr