[건강칼럼] ‘여자의 자존심’ 하이힐! 하지만 하이힐만 고집하게 되면 무지외반증에 걸리기 쉽다. 실제, 최근 몇 년간 킬힐이 유행하면서 무지외반증 환자도 늘어났다.
지난 4일 국민건강보험공단 건강보험정책연구원이 건강보험 진료비 지급자료를 분석한 결과 2009년 무지외반증 진료환자는 4만 1,604명으로 집계됐다. 무지외반증 진료환자는 2005년 2만3,561명에서 ▲2006년 2만5,684명 ▲2007년 2만명9,531 ▲2008년 3만5,803명으로 매년 증가하고 있다. 2009년 무지외반증 성별 진료인원은 여성이 3만6,384명으로 남성(5,220명)보다 7배 많았다.
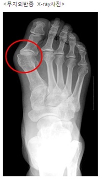
무지외반증은 엄지 발가락이 두 번째 발가락 쪽으로 휘어진 질환이다. 앞이 좁고 굽이 높거나 발가락을 꽉 죄는 구두를 신을 경우 발끝이 조여 지면서 무게 중심이 앞으로 쏠려 발가락에 압력이 가해지며 발병한다. 휘어진 뼈 때문에 외관상 좋지 못할 뿐만 아니라 변형이 심하면 무릎과 엉덩이 관절, 허리까지 통증을 유발하고, 보행 장해로도 이어질 수 있다.

무지외반증은 초기에는 보조기나 특수신발 등으로 증상을 호전 시킬 수 있지만 튀어나온 부위가 아프거나 신발을 신기 불편한 경우, 오래 걷기 어렵고 다른 발가락까지 변형됐을 때는 수술을 해야 한다.
환자의 나이, 변형의 심한 정도, 환자가 가장 불편하게 생각하는 부분 등을 고려하여 수술 방법을 결정한다. 수술법은 일반적으로는 돌출 부위의 뼈를 깎아내고 내외측으로 치우친 뼈를 잘라서 각을 교정하며 짧아진 근육 및 연부 조직을 늘려주는 것이다.

수술은 보통 30분~1시간 정도 소요된다. 입원기간은 3일~7일 정도다. 수술 후 걷는 시기는 특수 신발을 착용하면 석고 부목을 하지 않아도 되며, 수술 후 3일째 보행이 가능하다.
무지외반증을 예방하려면 평소 5㎝ 이하의 낮은 굽을 신는 게 좋지만, 꼭 굽 높은 구두를 신어야 한다면 1주일에 2회 이하로 제한하는 것이 중요하다. 발가락 스트레칭을 수시로 하고, 족욕이나 마사지를 해 주는 것도 효과적이다. /더조은병원 정형외과 안영주 과장
화보로 보는 뉴스, 스마트폰으로 즐기는 ‘OSEN 포토뉴스’ ☞ 앱 다운 바로가기