운동선수들의 발은 대개 평발의 반대 즉 아치가 높은 형태의 요족이다, 이런 발들이 힘이 좋고, 점프나 폭발적인 순발력을 내기에 좋은 발이라는 것이 널리 알려진 얘기이다.
물론 반대로 평발의 경우에는 발이 쉬 피곤해지고, 여러 가지 단점을 갖고 있는데, 항간에는 유명한 선수들이 이를테면 단거리 세계 챔피언 이었던 ‘칼 루이스’가 평발이었다더라 하는 것들이 평발을 극복하고 이룬 인간승리라는 측면에서 신문에 보도되기도 한다.
그런데, 우리 발 질환에는 선천적인 요인으로 인해 평발로 진행되는 아주 고약한 질환이 있다. 그것도 서양인에게는 흔치 않고 동양인에게만 많은 특별한 질환이 있고, 게다가 무지무지 높은 인구의 약 9%의 빈도를 가지고 있다니 놀랄만한 일이다, 이름하여 '부주상골 증후군'인데, 이것이 운동선수에게 생기면 선수의 기량에 큰 영향을 미치게 된다.

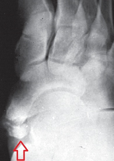
이 질환은 중간 발 안쪽에 있는 주상골(舟狀骨 - 돛단배모양의 뼈라는 뜻)에 덤으로 조그만 뼈 조각이 더 있는 병인데, 발 안쪽이 튀어나와서 진단이 어렵지 않다.
이 뼈 조각은 대개 중학교 2학년 쯤 되는 시기(약 13,14세 )에 나타나는 것이 일반적인데, 이 뼈가 있다고 해서 모두 문제가 되는 것은 아니고, 발을 한번 제대로 삔 후에부터 통증이 발생해서 이 뼈에 붙는 아치를 만들어주는 중요한 힘줄(후경골건 )을 망가뜨리면서 평발을 되고 통증, 순발력, 지구력 등 을 떨어뜨리는 경기력 저하를 일으키게 된다. 우리나라를 대표하는 올림픽 마라토너도 이 부주상골이 있었음에도 불구하고 금메달까지 딴 일은 유명한 일화다.
그런데, 문제는 한참 운동 경기력을 올려야 하는 중고등학교 학생들이 발이 삔 다음에 계속 튀어나온 부위가 아프게 되고, 문제가 생기면 자칫 운동을 그만두어야 하는 일까지 발생할 수 있다는 것이다.
따라서, 이 부주상골은 운동선수의 경우에는 증상이 있어 아픈 경우에는 빨리 제거를 해주는 것이 그 선수의 장래를 위해 바람직하다. 나중에 힘줄에 까지 문제가 생기면 그 때는 수술을 해도 완전히 좋아지지 않는 것이 일반적이기 때문이다.
필자는 운동선수들에게 '수술을 잘 안해 주는 의사'로 소문나 있다. 이는 스포츠의학의 중요한 원칙 중의 하나가 '가능한 한 수술을 피하라'라는 말이 너무나 중요한 원칙임을 잘 알고 있기 때문인데, 그럼에도 불구하고, 이 경우에는 수술이 불가피하다.
대개의 경우 수술 후 축구, 농구 같은 발 움직임이 많은 운동이나 발레같이 발끝으로 서는 어려운 동작을 많이 하는 종목에서도 무리없이 복귀가 이뤄지고 있다. 물론 수술 없이는 평발을 막기도 경기력을 향상시키기도 어렵다. 이 경우에는 '할 건 빨리 해라'가 답이다,
/족부 정형 전문의 이경태 박사