[OSEN=이슈팀] 뇌동맥류 환자가 급증하고 있다. 불과 5년사이에 3.2배나 늘어나면서 누리꾼들의 비상한 관심이 모아지고 있다. 뇌동맥류 환자가 급증한 이유 역시 추운 날씨와 함께 누리꾼들의 관심이 쏠리고 있다.
뇌동맥류 환자 급증은 국민건강보험공단이 최근 6년간(2007년~2012년) 건강보험 진료비 지급자료를 분석한 결과 드러났다. 국민건강보험공단은 ‘뇌동맥류질환(I67.1)과 뇌출혈질환(I60-I62), 이하 뇌혈관질환’ 진료인원이 2007년 8만 3천명에서 2012년 11만 8천명으로 늘어나 연평균 7.4%의 높은 증가율을 보였다고 밝혔다.
‘뇌혈관질환’ 진료에 지출한 건강보험 진료비는 2007년 2,996억원에서 2012년 4,926억원으로 1.6배 증가했으며, 이중 공단이 부담한 급여비는 2007년 2,424억원에서 2012년 3,997억원으로 연평균 10.5% 증가한 것으로 나타났다.

2012년에 ‘뇌혈관질환’으로 진료를 받은 연령대별 진료환자 구성비율은 50대가 27.2%를 차지하여 다른 연령층에 비해 가장 많았고, 그 다음으로 60대 25.6%, 70대 22.0%, 40대 12.0% 순(順)으로 나타났다.
국민건강보험 일산병원 신경외과 양국희 교수는 “실제 뇌출혈은 고혈압, 당뇨, 흡연, 고지혈증, 음주, 심장병 등이 원인이 되므로 나이가 많을수록 발생빈도가 증가한다”면서 “기존에 알려진 바로는 고령의 남성이 뇌출혈의 빈도가 높은 것으로 알려져 있지만, 뇌지주막하출혈의 경우 40~50대 고혈압이 있는 여성에게 발생하는 것으로 알려져 있다“고 말했다.
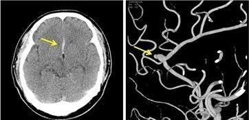
‘뇌혈관질환’ 중 뇌출혈 환자는 2007년 7만1,943명에서 2012년 8만493명으로 1.1배 증가한 반면 뇌동맥류 환자는 2007년 1만 2,446명이었던 것이 2012년에 3만 9,603명으로 3.2배 증가하였고, 인구 10만명당 환자수도 2007년 26명에서 2012년 80명으로 2007년 대비 3.1배 증가하였다.
양교수는 “뇌동맥류 환자가 급증하는 것은 질환 자체의 증가보다는 최근 들어 진단기술의 발달(MRI 등)로 기존에 진단하지 못했던 경우가 가능해졌기 때문으로 생각되며, 대개 뇌동맥류는 100명당 약 1명에서 발견된다고 알려져 있고, 뇌동맥류를 가진 환자의 1~2%정도에서 출혈을 일으키는 것으로 알려져 있다“고 설명하였다.
‘뇌혈관질환’으로 병원을 찾은 진료환자 추이를 연도별로 분석한 결과 연중 기온이 가장 낮은 겨울철(12월~2월)에 진료환자가 많은 것으로 나타났으며, 최근 6년간 겨울철 평균 진료인원도 58,738명으로 다른 계절에 비해 많았다.
양교수는 “겨울철에는 날씨가 추워지므로 혈압이 오를 가능성이 높고 운동을 하기 힘든 경우가 많아지면서 발생빈도가 높아진다“고 말했다.
osenhot@osen.co.kr