세계 최초로 성기 축소 수술을 받은 한 미국 소년의 사연이 소개돼 화제다.
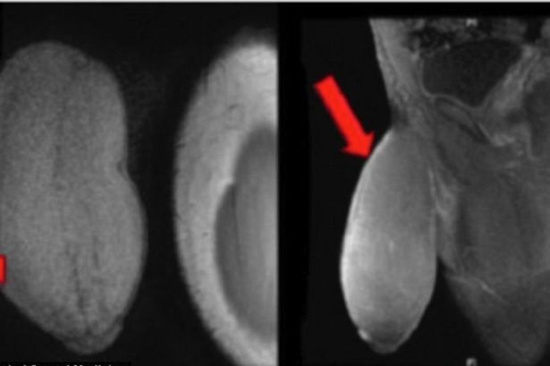
영국 일간지 ‘미러’는 13일(이하 한국시간) 성기 축소 수술을 받은 17세 소년에 대해 보도했다. 이 매체에 따르면 이 남성의 성기는 7인치에 달한 것으로 알려졌다. 하지만 둘레 역시 10인치로 ‘럭비공’ 모양의 성기를 가져 생활에 불편을 겪었다.
이 소년은 계속되는 발기 현상으로 인해 자연스러운 혈액 순환에 방해를 받았다. 게다가 경쟁적인 스포츠 활동이나 성관계, 바지를 입는 등의 상황에서 어려움을 겪었다. 결국 이 소년은 수술을 하기로 결정한 것이다.

수술을 담당했던 남플로리다 대학교의 비뇨기과 전문의 라파엘 캐리언은 “가끔 불가능하거나 특이한 환자들의 요구가 있다. 그리고 이 남성의 요구는 ‘내 성기를 더 작게 만들어줄 수 있냐’는 것이었다”고 전했다.
다행히 수술은 성공적으로 끝났고 10대 소년은 만족할만한 결과를 얻었다. 그리고 이 수술은 ‘성의학저널’에 세계 최초의 경우로 등재될 예정이다.
OSEN
영국 '미러' 홈페이지 캡처.