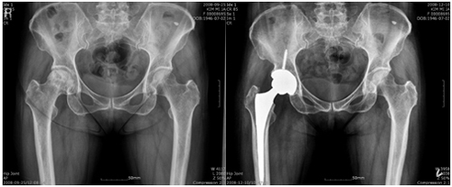
평소 사람들과 어울리기를 좋아해 자연스레 술자리도 잦은 평범한 직장인 강모(47세, 남)씨. 6개월 전부터 왼쪽 사타구니와 엉덩이 쪽으로 통증이 있었다고 한다. 시간이 지나면 낫겠지 하고 기다리다가 통증이 심해져서 찾아간 병원에서 뜻밖에 고관절 무혈성 괴사증이라는 진단을 받았다. 가정주부 권모(54세, 여)씨는 어릴 적부터 왼쪽 다리가 약간 짧고 움직임이 부자연스러웠다고 하는데 생활하는데 큰 불편함이나 통증이 없어서 별다른 걱정을 안 하고 살아왔다고 한다. 하지만 3년 전부터 서서히 통증이 심해졌고, 그녀는 집 가까운 병원에서 비구 이형성증에 의한 이차성 고관절 퇴행성 관절염으로 진단받았다. 두 사람 모두 병세가 심하여 말기라는 얘기를 들었고 결국 인공 고관절 치환술을 해야 한다는 전문의의 권유를 받았다. 아직은 비교적 젊은 축에 속한다고 생각한 그들은 인공 관절 수술을 해야 한다는 사실에 걱정이 앞서 잠시 망설였지만 결국 인공 고관절 치환술을 받았다. 지금은 많이 회복되어 거의 정상에 가까운 일상생활을 할 뿐만 아니라 자전거 타기를 하는데도 전혀 지장이 없을 정도로 관절 기능이 회복되었다. 인공 관절 치환술이 말기 관절염이나 무혈성 괴사증이 있을 경우 최선의 치료법이라는 것은 관심이 있는 사람들은 다 아는 사실이지만 인공 관절 수술을 하면 수명이 있고 또 고관절의 경우에는 탈구가 잘된다는 사실 때문에 수술을 피하게 되는 경우가 많이 있다. 강 모 씨나 권 모 씨처럼 나이가 아주 많지 않은 중년에는 더더욱 그러한 경향이 두드러진다. 인공 관절은 해가 갈수록 디자인이나 재질이 발전하고 있다. 무릎관절과 마찬가지로 고관절의 인공 관절도 나날이 발전하고 있는데 관절 접촉 부분을 세라믹으로 만들기 때문에 마모가 엄청나게 줄어들어 재수술이 필요한 확률을 낮추었으며 인공 관절의 수명도 그만큼 늘어나게 되었다. 세라믹이 인공 관절에 사용된 것은 어제 오늘의 일은 아니지만 과거의 세라믹은 마모는 잘 일어나지 않는 대신 세라믹이 깨지는 경우가 간혹 발생하여 환자와 의사를 곤혹스럽게 하는 경우가 있었기 때문에 사용을 꺼리는 의사들도 있었다. 최근에 개발한 세라믹 인공 관절은 4세대 세라믹을 이용한 것이다. 4세대 세라믹은 강도는 이전 세대보다 비슷하거나 더 강하면서도 잘 깨지지 않는다. 그러기 때문에 걱정 없이 사용할 수 있다. 그것뿐만이 아니다. 잘 깨지지 않기 때문에 인공 관절의 접촉 부분을 더 얇게 만들 수 있다. 이것은 기존에 쓰던 인공 대퇴 골두가 28mm의 지름을 가진 것에 비하여 36mm 정도의 지름으로 훨씬 더 큰 인공 골두를 사용할 수 있게 한다. 대퇴 골두가 커지면 움직임이 훨씬 자연스러우며 관절의 움직이는 범위도 커질 뿐만 아니라, 탈구가 잘 되지 않기 때문에 인공 고관절 수술 후에 관절이 빠지지 않을까 하는 걱정을 하나 덜 수 있다. 4세대 세라믹을 이용한 인공 고관절 수술, 세라믹이 깨지는 확률도 줄어들었고 큰 인공 대퇴 골두를 사용함으로써 관절의 움직임도 좋아지고 탈구도 예방할 수 있다고 하니 인공 관절의 진화는 대체 어디까지일까 지켜보는 것도 재미있는 일이 될 것 같다. 전재훈(연세사랑병원[강북점] 인공관절센터 과장). /OSEN=생활경제팀 osenlife@osen.co.kr 수술 전 후의 비교 사진.
