시력교정술이 대중화되면서 유전성 각막질환인 ‘각막 이상증’ 검사에 대한 중요성이 대두되고 있다. 100% 유전성 질환으로 알려져 있는 아벨리노 각막 이상증은 ‘하이알린’이라는 단백질이 각막에 침착되어 혼탁이 발생하여 실명에 이르게 되는 유전질환이다.
아벨리노 각막 이상증은 대부분 10세 초반부터 증상이 일어나기 시작하여 60~70세에 급격하게 시력 저하 현상이 일어나 심각할 경우 실명을 초래 할 수도 있다.

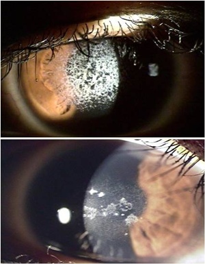
초기 증세는 육안으로 확인하기 힘들고, 증세도 잘 나타나기 않아 세극등 검사만으로 확인이 되지 않을 수 있고, 미세현미경으로 보아도 먼지와 헷갈릴 정도로 미세하기 때문에 쉽게 발견하기 어렵다.
또한 렌즈의 오랜 착용 유무와 생활환경 및 개인차 등으로 인하여 발현되는 정도에 차이가 있을 수 있다.
만약, 아벨리노 각막 이상증이 있는 환자가 ‘라식, 라섹’을 하게 될 경우 몇 년 안에 급격한 시력저하에 이를 수 있기 때문에 이를 예방하기 위해서는 수술 전 ‘아벨리노 DNA검사’가 매우 중요하다.
아벨리노 각막이상증의 검사방법은 구강상피세포, 혈액, 모근 세포를 시료로 채취해 DNA를 추출 검사하는 아벨리노 AGDS™검사가 대표적이며, 절차가 매우 간편하고 4시간 이내에 결과를 받아볼 수 있기 때문에 많은 병원에서 시행되고 있다. 더구나 공인된 임상을 통해 신뢰도를 입증한 유전자 검사이기 때문에 100%에 가까운 정확한 진단을 받을 수 있다는 장점이 있다.
만약, 아벨리노 각막이상증이 진단 되었을 경우, 우성유전을 하므로 가족도 함께 검사를 받는 것이 좋다.
현재 시력교정술을 시행하는 몇몇 안과에서 모든 고객에게 적극적으로 아벨리노 DNA 검사를 시행해 실제로 아벨리노 유전자의 돌연변이를 보유한 환자를 검출하기도 했다. 그러나 대부분의 안과에서는 검사비용의 부담 때문에 여전히 환자의 선택에 의해서만 이루어지고 있다. 최악의 경우 실명에 이를 수 있는 유전질환인 만큼 시력 교정 수술을 고려하고 있는 사람이라면, 안전을 위하여 아벨리노DNA 검사는 선택이 아닌 필수검사라는 사실을 잊지 말아야 한다. /생활경제팀 osenlife@osen.co.kr
<사진>38세 때 라식 수술을 하고 7년이 지나 아벨리노 각막 이상증으로 각막에 혼탁이 온 경우(위) 엑시머레이저 수술 후 각막 이상증이 재발 된 모습.