비뚤게 난 치아, 벌어진 치아, 돌출 된 치아 등으로 대표되는 부정교합은 우리나라 인구 중 70~80%에게서 나타난다. 특히 섬유질이 풍부한 질긴 전통음식보다는 패스트푸드와 같은 부드러운 식품을 선호하는 학생들에게서 부정교합 비율이 점점 증가하고 있다.
실제로 식습관은 부정교합에 적지 않은 영향을 끼친다. ‘어떤 음식을 어떻게 먹는지’가 치아의 구조까지를 바꿔놓을 수 있다는 것이다. 가장 도드라지는 것이 한쪽 치아로만 음식을 씹는 편측저작선호이다. 통계에 의하면 성인 중 40%에게서 나타난다고 한다.
네모치과병원 최용석 대표 원장은 “부정교합은 유전적인 영향과 환경적인 영향의 상호작용을 통해서 발생된다.”며 “유전적인 요인과 함께 치아가 생성, 성장하는 과정에서 생활습관에 의한 환경적 영향을 받음으로써 부정교합이 나타나게 되는 것이다.”고 전한다.

❚ 부정교합, 다 그만한 이유가 있는 법!
보통 아래턱이 앞으로 나온 ‘하악전돌’(주걱턱), 윗턱이 앞으로 나온 ‘상악전돌’, 이를 다물어도 위 아랫니가 맞물리지 않는 ‘개방교합’, 앞쪽 윗니가 아랫니를 ⅔이상 덮는 ‘과개교합’과 같은 경우가 유전적인 요인에 해당한다.
네모치과병원 최용석 대표원장은 “유전적인 경우는 부모의 골격 치아구조의 부정교합이 선천적으로 자녀에게 이어지는 것으로 코의 경사, 악골의 형태, 웃는 모습 등에서 쉽게 확인이 가능하다. 특히 하악 전돌증(주걱턱)에서 강하게 나타난다.”고 전한다.
치아가 완전히 발육하기 전에는 생활습관과 같은 후천적인 요인도 부정교합을 초래하는 원인이 된다. 예를 들어 만 4세 이후에도 손가락을 계속 빨면 윗 턱이 앞으로 돌출되는 뻐드렁니나 앞니가 서로 맞물리지 않는 개방교합이 나타난다.
뿐만 아니라 늘 입을 벌리고 있는 경우 치아를 제압하는 힘이 약해지면서 근육의 균형이 깨져 주걱턱이나 뻐드렁니가 될 수 있다. 이 외에도 혀 내밀기 습관, 입술을 빠는 습관, 손으로 턱을 받치는 습관 등이 부정교합을 부르는 후천적인 생활습관으로 분류된다.
❚ 내게 맞는 부정교합 치료 방법은?
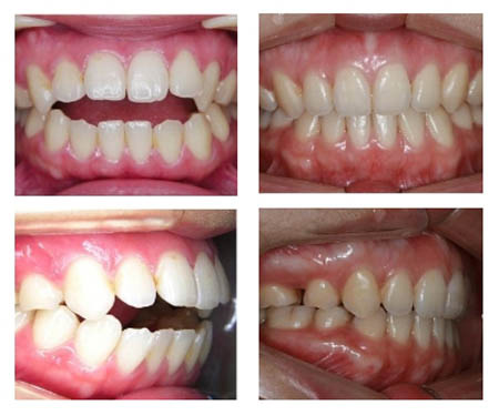
교정치료로 치아의 배열을 교정하면 외관상으로는 물론이고 치주질환의 개선, 얼굴 모양 개선에 긍정적인 효과를 줄 수 있다. 단, 교정 치료 전에는 환자 개개인이 가진 부정교합의 원인이나 정도를 정확하게 파악할 수 있는 정밀진단이 선행되어야 한다. 보통 치아 및 악골의 방사선 사진, 석고 교정 모형, 안모 및 구강내의 사진 등을 확인하게 된다.
교정 전 검진과 진단을 받았다면 이를 바탕으로 한 환자 개인별 원투원프로그램이 이루어진다. 교정 치료의 방법에는 일반교정, 설측교정, 소아교정, 투명교정, 부분교정, 콤비교정, 급속교정, 수술교정이 있다. 전문의의 교정 진단과 환자의 선호를 조율하여 개개인에 적합한 교정 방법을 선택하게 된다.
보다 확실한 교정 치료를 위해서는 교정이 끝난 후에도 사후 프로그램으로 유지관리를 도와야 한다. 교정 전, 교정 과정, 교정 후를 모두 고려하는 3차원 진단 시스템이 필수적이라는 것이다. 뿐만 아니라 교정은 치아, 치주, 골격 등에 모두 관련한 것이기 때문에 교정과는 물론 치주과, 보철과, 보존과의 협진단 시스템 또한 필수적이다.
부정교합의 원인은 여러 가지이다. 부정교합을 이어준 부모를 원망하거나 부정교합을 생기게 한 나의 생활습관을 원망하는 것은 아무런 도움이 되지 않는다. 이에 자신에게 맞는 교정 치료 방법을 선택함으로써 반듯한 치아를 완성하는 것이 좋겠다.
[OSEN=생활경제팀]osenlife@osen.co.kr