외모, 즉 눈으로 보이는 자신의 모습은 자신의 이미지를 결정하는데 큰 역할을 한다. 취업이나 면접에 있어서도 마찬가지다. 이력서에 붙은 증명사진이나 면접에서 숫기 없고 잘 웃지 않는 사람보다는 당당하고 환하게 웃는 이들이 더 좋은 성적을 얻기 마련이다.
대학교 졸업반인 김진희(24·가명) 씨는 하반기 공식채용을 앞두고 이력서에 붙일 증명사진을 찍기 위해 사진관에 갔다. 그러나 나온 사진이 맘에 들지 않아 증명사진만 3군데를 돌았다. 바로 어색한 미소 때문이다.
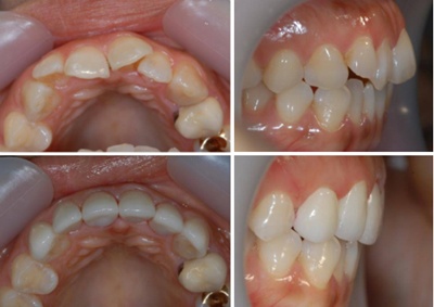
김 씨는 큰 키에 또렷한 이목구비까지 빠지는 것이 없지만 웃을 때 적나라하게 드러나는 삐뚤삐뚤한 치아 때문에 사람들 앞에 나서기를 꺼린다. 뿐만 아니라 치아가 앞으로 돌출되어 입을 다물 때 입에 힘이 들어가고 불만에 차 있는 듯 보인다.

평소 이런 말을 많이 듣던 김 씨는 이러한 치아 콤플렉스가 취업에서도 부정적인 영향을 줄까 노심초사하다 결국 치과를 방문했다. 그러나 치과를 방문한 김 씨는 걱정부터 앞선다. 많은 이들이 돌출치아는 치아교정을 통해서만 교정될 수 있다고 하는데 당장 면접을 보러 다녀야 하는 김 씨에게 교정기가 여간 불편한 것이 아니기 때문이다.
실제로 치아교정은 적게는 1년, 많게는 3년 이상의 교정기간을 가진다. 교정기를 오랜 시간 끼고 있어야 하는 것은 사회인들에게 여간 불편한 것이 아니다. 특히 김 씨처럼 당장 중요한 일을 앞두고 있는 사람에게 치아교정의 긴 치료기간과 큰 비용은 매우 부담스럽다.
이에 최근 가장 각광을 받고 있는 것이 바로 ‘프로파일 라미네이트’다. 바쁜 현대인들에게 큰 인기를 얻고 있는 프로파일 라미네이트는 교정기를 끼고 있을 필요도, 치료에 오랜 시간을 허비할 필요도 없다.
프로파일 라미네이트는 가지런하지 못한 치아를 교정하여 돌출입까지 교정한다. 이로 인해 옆모습 즉, 프로필라인을 아름답게 하는 라미네이트로 정면은 물론이고 측면까지 단 한 번의 시술로 치아 전체를 디자인하는 치아성형이다.
뿐만 아니라 치아에 콤플렉스가 있는 경우, 치아 배열의 문제뿐만 아니라 치아 모양 자체가 콤플렉스인 경우도 매우 많다. 특히 돌출치아의 경우, 대부분이 얼굴에 비해 치아가 크고 길다. 이 때문에 치아교정을 끝낸 뒤에도 길고 큰 치아 때문에 여전한 콤플렉스로 고민하는 이들이 많다.
프로파일 라미네이트는 얼굴형과 이미지에 맞게 치아 모양이나 치아 색상, 크기까지 종합적인 치아를 아름답게 만들 뿐 아니라 전체적인 얼굴 라인을 더욱 아름답게 만들 수 있다.
20년 동안 2만 건 이상의 치아 심미치료를 시술한 수치과 류홍열 원장은 “취업 면접이나 웨딩 촬영 등을 앞두고 당당한 미소를 얻기 위해 치과를 찾는 이들이 많다. 특히 시간이 돈인 현대사회에서 짧은 시간에 아름다운 치아를 얻을 수 있다는 이유 때문에 라미네이트가 큰 인기를 얻고 있다”고 말했다.
류 원장은 “라미네이트에 있어서 가장 중요한 것이 바로 전문성과 노하우다. 라미네이트는 새로운 치아를 만드는 것과도 같으므로 전체적인 얼굴형에 맞는 치아모양과 색, 크기 등을 디자인하여 가장 자연스럽게 만드는 것이 중요하다. 수치과에서는 더욱 빠르고 전문적인 시술을 위해 병원 내에 전담심미기공센터와 세라미스트를 양성하고 있다”라고 덧붙였다. /생활경제팀 osenlife@osen.co.kr
화보로 보는 뉴스, 스마트폰으로 즐기는 ‘OSEN 포토뉴스’ ☞ 앱 다운 바로가기