입체적인 사람의 얼굴은 어떤 각도에서 보느냐에 따라 전체적인 인상이 매우 크게 바뀐다. 그렇다면 이 중에서도 가장 여성스러움을 어필할 수 있는 각도는 무엇일까.
가장 여성스러우면서도 분위기 있는 얼굴은 바로 옆모습이다. 많은 이들이 무언가에 열중하고 있는 사람의 옆모습에 호감을 느끼는 것 또한 이러한 경우다. 많은 사람들이 거울을 통해 정면 얼굴은 쉽게 볼 수 있지만 자신의 옆모습을 전체적으로 보기는 쉽지 않다.
그러나 전체적으로 자연스러우면서도 균형이 맞는 얼굴을 만들기 위해서는 정면뿐 아니라 측면에서 봤을 때도 아름다운 라인이 만들어져야 한다. 특히 전체적인 분위기를 좌우하는 것이 바로 옆모습, 즉 프로필 라인이다.

이에 많은 이들이 아름다운 옆모습을 만들기 위해 코 성형수술을 결심한다. 그러나 코끝부터 이어지는 라인이 어색하고 앞으로 돌출되어 있다면 코 성형수술로 코를 높여도 더욱 어색한 얼굴이 된다. 반면에 콧대가 그리 높지 않아도 옆모습을 방해하는 돌출치아를 교정하면 코가 더욱 오뚝해 보인다.
뿐만 아니라 돌출된 치아를 교정하면 하관이 작아 보여 전체적인 얼굴이 더 작아 보이며 얼굴이 훨씬 입체적이어 보일 뿐 아니라 코가 오뚝해 보이는 효과가 있다. 이 때문에 많은 이들이 돌출된 앞니를 교정하기 위해 치과를 찾는다.
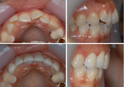
그러나 바쁜 현대인들에게 오랜 시간 치아교정기를 끼고 치료를 받아야 하는 치아교정은 부담스러운 것이 사실이다. 이에 급속교정이라 불리는 라미네이트가 큰 인기를 얻고 있다. 문제의 치아를 소량 삭제하고 그 위에 가지런하게 디자인된 라이네이트 팁을 붙이는 것이 바로 라미네이트다.
특히 수치과병원은 희고 가지런한 치아뿐 아니라 환자의 프로필라인까지 생각한 ‘프로파일 라미네이트’를 선보여 주목받고 있다. 프로파일 라미네이트는 정면은 물론이고 측면까지 단 한 번의 시술로 치아 전체를 디자인하는 치아성형이다.
즉, 프로파일 라미네이트는 특정 문제 치아만을 고려하여 치료하는 기존의 라미네이트 시술과는 달리 전체적인 치아를 아름답게 배열해 치아뿐만 아니라 입을 다물었을 때도 아름다운 프로필라인을 만드는 종합 치아성형술이라고 볼 수 있다.
수치과 류홍열 원장은 “라미네이트는 자연치아의 이상적인 형태와 색상을 재현함으로써 가지런한 치열과 영구미백의 두 가지 효과를 얻을 수 있다. 뿐만 아니라 프로파일 라미네이트의 경우 평소 돌출입으로 고민이었던 이들에게 치아교정과 미백뿐만 아니라 튀어나온 입도 교정해 주어 어떤 각도에서도 환한 미소를 잃지 않게 도와준다”고 말했다.
이어 “세상에 똑같은 얼굴을 가진 사람이 없는 것처럼 치아도 사람의 특성에 따라 모양과 색상, 질감이 모두 다르다. 그러므로 개개인에게 어울리는 치아를 만들기 위해서는 숙련된 노하우와 라미네이트 팁을 만드는 전문성이 필수이다. 이를 충족시키기 위해 수치과에서는 전담심미기공센터와 세라미스트를 양성하고 있다”고 덧붙였다. / 생활경제팀 osenlife@osen.co.kr
화보로 보는 뉴스, 스마트폰으로 즐기는 ‘OSEN 포토뉴스’ ☞ 앱 다운 바로가기