최근 동안을 결정하는 얼굴형, 특히 옆모습의 중요성이 부각되면서 많은 이들이 양악수술에 대해 알아보기 위해 성형외과를 찾는다. 그러나 양악수술에 들어가는 시간과 비용, 부작용 등으로 인해 수술을 받기 꺼리는 이들이 많다.
실제로 양악수술은 입안이나 귀 뒤쪽을 절재한 뒤 문제의 턱뼈를 깎아내고 뼈를 다시 맞추는 성형수술의 하나이다. 턱뼈를 깎아내기 위해 입안 혹은 귀 뒤편의 절개가 이뤄져야하며 생 뼈를 깎아내는 것이기 때문에 시술 후에 붓기나 멍이 사라지는 회복기간이 길어질 수밖에 없다. 또한 턱 주변에 여러 가지 신경이 집중돼 있어 부작용의 위험 뿐 아니라 턱관절에 이상이 생길 위험도 있다.
이러한 위험요소 때문에 돌출입으로 인한 콤플렉스를 가지고 있음에도 불구하고 양악수술을 받지 못하는 게 대다수다. 뿐만 아니라 치아교정 또한 외모에 콤플렉스가 되는 교정기를 끼고 오랜 시간 치료를 받아야 한다는 점 때문에 사회생활 중인 바쁜 직장인들에는 부담스럽다.

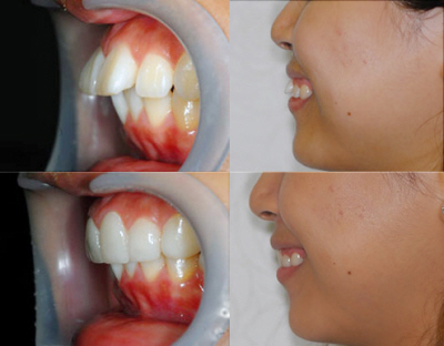
이에 새로운 돌출입 치료 대안으로 ‘프로파일 라미네이트’가 큰 인기를 얻고 있다. 일반적으로 알려진 라미네이트가 문제의 치아 겉면을 소량 삭제한 뒤 가지런한 모양의 라미네이트 팁을 방식을 붙이는 방식이라면 프로파일 라미네이트는 돌출입의 원인이 되는 돌출된 치아를 삭제하여 아름다운 옆모습을 만드는 것이다.
수치과 병원에서 선보이고 있는 ‘프로파일 라미네이트’는 라미네이트 팁을 붙이는 방식으로 오랜 회복기간이 필요하지 않으며 1~2번의 내원만으로도 아름다운 미소를 얻을 수 있어 바쁜 현대인들에게 더욱 큰 인기를 얻고 있다.
프로파일 라미네이트는 특정 문제 치아만을 고려하여 치료하는 기존의 라미네이트 시술과는 달리 전체적인 치아를 아름답게 배열해 치아뿐만 아니라 입을 다물었을 때도 아름다운 프로필라인을 만드는 종합 치아성형술이라고 볼 수 있다.
뿐만 아니라 돌출치아의 경우 치아가 전체적인 스마일라인에 비해 크고 모양 자체가 고르지 못한 경우가 있다. 이러한 경우는 치아교정을 통해 가지런한 치아를 얻은 뒤에도 전체적인 얼굴에 어울리지 않는 치아 모양으로 인해 콤플렉스가 생기기 쉽다. 이번 수술 방법의 경우 얼굴 전체적인 균형과 분위기를 고려해 가장 아름다운 스마일라인을 만든다.
수치과 류홍열 원장은 “라미네이트는 자연치아의 이상적인 형태와 색상을 재현함으로써 가지런한 치열과 영구미백의 두 가지 효과를 얻을 수 있다. 여기에 프로파일 라미네이트의 경우 평소 돌출입으로 고민이었던 이들에게 치아교정과 미백뿐만 아니라 튀어나온 입도 교정해 주어 어떤 각도에서도 환한 미소를 잃지 않게 도와준다”고 말했다.
류 원장은 “특히 돌출입을 교정하는 ‘프로파일 라미네이트’ 시술은 훨씬 아름다운 미소를 얻을 수 있을 뿐 아니라 전체적인 프로필라인을 자연스럽게 교정해 얼굴의 입체감이 살아난다. 이로 인해 코가 더 높아 보이고 얼굴이 더 작아 보이는 효과까지 볼 수 있어 남녀노소를 불문하고 많은 이들에게 사랑받고 있다. 수치과에서는 환자에게 더욱 르고 전문적인 치료를 제공하기 위해 병원 내에 전담심미기공센터와 세라미스트를 양성하고 있다”고 덧붙였다. / 생활경제팀 osenlife@osen.co.kr
화보로 보는 뉴스, 스마트폰으로 즐기는 ‘OSEN 포토뉴스’ ☞ 앱 다운 바로가기