비즈니스의 성공을 결정하는 대인관계. 최근 이러한 대인관계의 중요성이 부각되면서 상대방에게 좋은 인상을 심는 방법과 상대방 기분을 상하게 하지 않고 설득하는 방법 등이 큰 관심을 모으고 있다.
좋은 첫인상은 상대방에게 신뢰감을 줄 뿐만 아니라 상대방의 기억에 오래 남는다. 사람의 첫인상은 3초 안에 만들어지지만 이 첫인상을 바꾸는 데에는 3개월의 시간이 걸린다. 만약 상대방에게 좋은 첫인상을 심어줬다면 다른 사람에 비해 훨씬 좋은 이미지를 심어줄 수 있는 것이다.
특히 이 같은 좋은 첫인상은 면접에서 긍정적인 영향을 줘 결과를 좌우할 수 있다. 환하게 웃는 얼굴은 호의를 나타내어 상대방에게 편안함을 심어주는 동시에 친근함을 선사한다. 때문에 낯선 상대에게서 오는 경계심을 무너뜨려 신뢰감을 주는 것이다. 이렇듯 웃음은 인간관계의 윤활유 역할을 하며 우리를 성공의 문으로 이끈다.

이처럼 상대방에게 호감을 나타내는 미소를 지을 때 가장 중요한 역할을 하는 것이 바로 치아다. 희고 가지런한 치아는 당당한 웃음을 만들어주는 반면 가지런하지 못하거나 치아에 콤플렉스를 갖고 있는 이들 중에는 잘 웃지 않거나 손으로 입을 가리고 웃는 이들이 많다. 웃을 때 적나라하게 드러나는 치아의 단점 때문이다.
입을 다물고 있어도 입이 튀어나와 화난 듯한 표정이 되는 돌출치아를 가진 경우 이러한 콤플렉스가 남들보다 더욱 심한 편이다. 치아에 대한 콤플렉스는 웃는 얼굴에 대한 자신감을 떨어뜨린다. 때문에 자주 웃지 않게 되며 대인관계에서도 문제가 생긴다.
이 때문에 많은 이들이 돌출입을 교정하기 위해 양악수술 또는 치아교정을 선택한다. 그러나 양악수술이나 치아교정은 치료기간이 길 뿐만 아니라 부작용이나 비용 또한 만만치 않아 선뜻 치료를 결정하기 부담스러운 것이 사실이다.
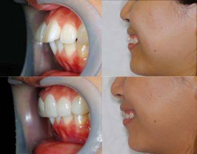
이에 바쁜 현대인들에게 가장 각광을 받고 있는 것이 ‘프로파일 라미네이트’다. 프로파일 라미네이트는 옆모습 즉, 프로필라인을 아름답게 하는 라미네이트로 정면은 물론이고 측면까지 단 한 번의 시술로 치아 전체를 디자인하는 치아성형이다.
프로파일 라미네이트는 특정 문제 치아만을 고려하여 치료하는 기존의 라미네이트 시술과는 달리 전체적인 치아를 아름답게 배열한다.
이에 돌출입과 같이 치아 배열로 인한 문제를 해소시켜주며 웃었을 때 희고 가지런한 치아로 화사한 미소는 물론이고 입을 다물고 있을 때 단아한 옆모습까지 완벽한 라인을 만든다. 이처럼 프로파일 라미네이트는 얼굴형과 이미지에 맞게 치아 모양이나 치아 색상, 크기까지 종합적인 치아를 아름답게 만들 수 있는 종합 치아성형술이라고 볼 수 있다.
수치과 류홍열 원장은 “웃음은 자신감을 키워주고 일에 대한 열정을 불러일으켜 준다. 뿐만 아니라 건강과 좋은 대인관계를 위해서 꼭 필요하다. 만약 가지런하지 못한 치아로 웃는 모습에 콤플렉스를 가지고 있다면 치아성형을 통해 자신감을 되찾는 것이 무엇보다 중요하다”고 말했다.
류 원장은 또 “라미네이트의 가장 큰 장점은 돌출된 치아나 덧니, 벌어지고 깨진 치아, 변색된 치아와 같은 여러 가지 효과를 한 번에 볼 수 있다는 것이다. 뿐만 아니라 프로파일 라미네이트의 경우 평소 돌출입으로 고민이었던 이들에게 치아교정과 미백뿐만 아니라 튀어나온 입도 교정해 주어 어떤 각도에서도 환한 미소를 잃지 않게 도와준다”고 덧붙였다. / 생활경제팀 osenlife@osen.co.kr
화보로 보는 뉴스, 스마트폰으로 즐기는 ‘OSEN 포토뉴스’ ☞ 앱 다운 바로가기