코를 보다 높게, 얼굴형을 훨씬 갸름해 보이게 만드는 얼굴 부위는 어디일까. 바로 치아다. 심미치료가 전 세계적인 트렌드로 자리 잡으면서 그 동안 기능적인 면에만 충실해 왔던 아름다운 치아의 중요성이 날로 커지고 있다.
이에 최근 많은 이들이 충치나 치통 탓이 아닌 아름다워지기 위해 치과를 찾는다. 직장인 이서희(26) 씨는 말을 하거나 웃을 때마다 손으로 입을 가리고 웃는 것이 습관이다. 바로 앞으로 삐죽하게 툭 튀어나온 치아 때문. 이러한 습관은 상대방에게 소극적이며 신뢰감 없는 이미지를 만들기 쉽다. 이 씨는 이러한 습관이 생기게 된 치아콤플렉스를 해결해 더욱 아름답고 당당한 자신의 미소를 찾기 위해 치과를 찾았다.
실제로 많은 이들이 많은 이들이 치아로 인해 자신감을 잃은 경우가 많다. 이러한 경우 이 씨처럼 자신의 미소나 대인관계에 있어 자신감을 잃기 쉽다. 특히 입을 다물고 있어도 입이 튀어나와 화난 듯한 표정이 되는 돌출치아를 가진 경우 이러한 콤플렉스가 남들보다 더욱 높다.

치아가 가장 큰 영향력을 행사하는 시기는 바로 미소 지을 때다. 웃을 때마다 보이는 희고 가지런한 치아는 상대방에게 화사하고 깔끔한 인상을 준다. 그러나 치아의 중요성은 미소 외에 무표정한 얼굴에서도 나타난다. 가지런하지 못하고 삐뚤삐뚤하게 난 치아는 입을 다물고 있을 때에도 큰 문제점으로 작용한다. 삐뚤삐뚤한 치아의 경우 치아가 자리 잡고 있는 공간이 부족해 엇갈리게 나거나 앞으로 돌출되는 경우가 생긴다. 이렇다면 아무리 이목구비가 뚜렷해도 전체적인 얼굴이 퍼져 보이고 밋밋해 보인다.
이에 아름다운 미소와 옆모습을 얻기 위해 많은 이들이 치아 심미치료를 결심하고 있다. 그러나 치료에 오랜 시간이 걸릴 뿐 아니라 보기 싫은 교정기를 끼고 있어야 하는 치아교정의 단점 때문에 치료를 망설이는 이들이 많다.
특히 매일 사람과 부대껴야 하는 사회인의 경우, 이러한 치아교정은 비단 금전적인 면 외에 시간적인 면에서 발생하는 비용이 매우 크다.뿐만 아니라 치아에 콤플렉스가 있는 사람은 치아 배열의 문제뿐만 아니라 치아 모양 자체가 문제인 경우도 매우 많다.
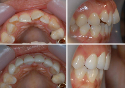
돌출치아는 대부분이 얼굴에 비해 치아가 크고 길다. 이 때문에 치아교정을 끝낸 뒤에도 길고 큰 치아 때문에 여전한 콤플렉스로 고민하는 이들이 많다.이에 많은 이들에게 각광을 받고 있는 것이 바로 ‘프로파일 라미네이트’다. 프로파일 라미네이트는 옆모습 즉, 프로필라인을 아름답게 하는 라미네이트로 정면은 물론이고 측면까지 단 한 번의 시술로 치아 전체를 디자인하는 치아성형이다. 특정 문제 치아만을 고려하여 치료하는 기존의 라미네이트 시술과는 달리 전체적인 치아를 아름답게 배열한다.
이는 돌출입과 같이 치아 배열로 인한 문제를 해소시켜주며 웃었을 때 희고 가지런한 치아로 화사한 미소는 물론이고 입을 다물고 있을 때 단아한 옆모습까지 완벽한 라인을 만든다. 이처럼 프로파일 라미네이트는 얼굴형과 이미지에 맞게 치아 모양이나 치아 색상, 크기까지 종합적인 치아를 아름답게 만들 수 있는 종합치아성형술이라고 볼 수 있다.
수치과 류홍열 원장은 “라미네이트는 문제 치아의 겉면을 소량 삭제한 후 그 위에 라미네이트 팁을 붙이는 방식으로 이뤄진다. 라미네이트 팁은 자신의 얼굴에 어울리는 모양과 크기 색상 등을 디자인할 수 있고 빠른 시간 내에 확 바뀐 자신의 모습을 확인할 수 있어 바쁜 직장인이나 급하게 면접과 같은 중요한 일을 앞두고 있는 이들에게 큰 인기를 얻고 있다”라고 말했다.
류 원장은 또 “프로파일 라미네이트의 경우 평소 돌출입으로 고민이었던 이들에게 치아교정과 미백뿐만 아니라 튀어나온 입도 교정해 주어 전체적인 얼굴라인이 살아나기 때문에 시술 후 큰 만족도를 얻을 수 있다. 수치과에서는 더욱 빠르고 전문적인 시술을 위해 병원 내에 전담심미기공센터와 세라미스트를 양성하고 있다”고 설명했다. / 생활경제팀 osenlife@osen.co.kr
화보로 보는 뉴스, 스마트폰으로 즐기는 ‘OSEN 포토뉴스’ ☞ 앱 다운 바로가기