연예인들의 사진을 보면 앞모습도 탐날 만큼 아름답지만 유독 매끈한 옆모습이 눈에 띄는 경우가 많다. 사진을 찍을 때 항상 얼짱 각도를 유지해온 당신이라면 어떤 각도에서 찍어도 완벽한 그의 사진을 보며 부러움을 감추지 못한 일이 한번쯤은 있을 것이다.
그렇다면 연예인 같은 아름다운 얼굴의 비결은 무엇일까. 어떤 각도에서도 아름다운 얼굴을 만드는 것은 바로 얼굴의 전체적인 균형이 맞기 때문이다. 특히 옆에서 봤을 때 이마에서 코를 지나 턱 끝까지 이어지는 라인이 자연스럽고 균형 잡혀야만 어떤 각도에서도 아름다운 얼굴이 된다.

이에 연예인처럼 아름다운 옆모습을 만들기 위해 코 성형수술을 결심하는 이들이 많다. 그러나 코끝부터 이어지는 라인이 어색하고 앞으로 돌출되어 있다면 코 성형수술로 코를 높여도 더욱 어색한 얼굴이 된다. 반면에 콧대가 그리 높지 않아도 옆모습을 방해하는 돌출치아를 교정하면 코가 더욱 오뚝해 보인다.
뿐만 아니라 돌출된 치아를 교정하면 하관이 작아 보여 전체적인 얼굴이 더 작아 보이며 얼굴이 훨씬 입체적으로 보일 뿐 아니라 코가 오뚝해 보이는 효과가 있다. 이 때문에 많은 이들이 돌출된 앞니를 교정하기 위해 치과를 찾는다.
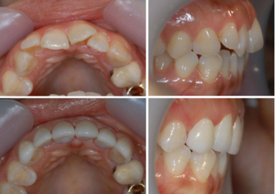
그러나 바쁜 현대인들에게 오랜 시간 치아교정기를 끼고 치료를 받아야 하는 치아교정은 부담스러운 것이 사실이다. 따라서 급속교정이라 불리는 라미네이트가 큰 인기를 얻고 있다. 문제의 치아를 소량 삭제하고 그 위에 가지런하게 디자인된 라이네이트 팁을 붙이는 것이 바로 라미네이트다.
특히 수치과병원은 희고 가지런한 치아뿐 아니라 환자의 프로필라인까지 생각한 ‘프로파일 라미네이트’를 선보여 주목받고 있다. 프로파일 라미네이트는 정면은 물론이고 측면까지 단 한 번의 시술로 치아 전체를 디자인하는 치아성형이다.
즉, 특정 문제 치아만을 고려하여 치료하는 기존의 라미네이트 시술과는 달리 전체적인 치아를 아름답게 배열해 치아뿐만 아니라 입을 다물었을 때도 아름다운 프로필라인을 만드는 종합 치아 성형술이라고 볼 수 있다.
류홍열 원장은 “라미네이트는 자연치아의 이상적인 형태와 색상을 재현함으로써 가지런한 치열과 영구미백의 두 가지 효과를 얻을 수 있다. 뿐만 아니라 프로파일 라미네이트의 경우 평소 돌출입으로 고민이었던 이들에게 치아교정과 미백뿐만 아니라 튀어나온 입도 교정해 주어 어떤 각도에서도 환한 미소를 잃지 않게 도와준다”고 말했다.
이어 “라미네이트는 시술 시간이 짧아 금방 끝나지만 인공치아가 도자기 재질로 만들어져 자연 치아처럼 자연스럽고 튼튼하기에 만족도가 높다. 그러나 라미네이트 치아성형으로 가지런해진 치아를 오랜 기간 편안하게 사용하기 위해서는 정기적인 관리가 필요하다”고 덧붙였다. / 생활경제팀 osenife@osen.co.kr
화보로 보는 뉴스, 스마트폰으로 즐기는 ‘OSEN 포토뉴스’ ☞ 앱 다운 바로가기