최근 사람들이 가장 많이 하는 이야기 주제가 바로 ‘별들의 축제’라 불리는 각종 시상식이다. 특히 시상식에서 우아한 드레스를 입고 아름다운 자태를 뽐내는 연예인의 일거수일투족은 연일 화제가 되고 있다.
수많은 카메라 앞에서 당당하고 화사한 미소로 화답하는 연예인들을 보면 ‘나도 저 연예인처럼 예쁘면 얼마나 좋을까’ 하는 생각이 들기 마련이다. 어떤 각도에서도 아름다움을 잃지 않는 연예인들의 모습은 모든 여성들의 부러움을 사기 충분하다. 이러한 완각미인들의 비결은 무엇일까.
어떤 각도에서 봤을 때에도 아름다운 얼굴을 만들기 위해서는 정면뿐 아니라 측면에서 봤을 때 멋진 라인이 만들어져야 한다. 어디에서 보느냐에 따라 인상이 확 달라져 보이는 것은 많은 굴곡이 모여 만들어지는 게 얼굴이기 때문이다. 그 중에서도 전체적인 인상에 큰 영향을 미치는 것이 바로 옆모습, 즉 프로필 라인이다.

실제로 프로필 라인에서 가장 중요한 것은 코끝과 턱 끝을 직선으로 이었을 때 입술이 살짝 닿는 자연스러운 라인이다. 많은 이들이 이러한 라인이 나오지 않는 것을 낮은 콧대 때문이라고 생각하기 쉽다. 그러나 실제로 콧대는 정상이나 앞으로 돌출된 치아 때문에 입이 튀어나와 이러한 라인을 망치는 경우가 더 많다.
아무리 아름다운 얼굴이라 해도 돌출된 치아 탓에 입을 다무는데 힘이 들어가 어색해 보이거나 입을 다물어도 입 주변이 툭 튀어나와 보인다면 어떨까. 실제로 돌출된 치아 때문에 입 부위가 툭 튀어나와 보이는 이들이 많다. 이러한 경우 전체적인 인상이 뚱해 보이고 웃을 때 치아가 강조되어 콤플렉스로 작용할 수 있다.
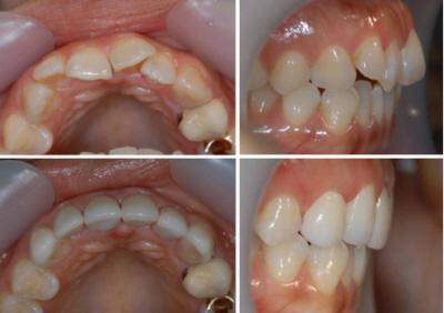
뿐만 아니라 돌출된 치아를 교정하면 하관이 작아 보여 전체 얼굴이 더 작아 보이며 얼굴이 훨씬 입체적이어 보일 뿐 아니라 코가 오뚝해 보이는 효과가 있다. 이 때문에 많은 이들이 돌출된 앞니를 교정하는 라미네이트 치료를 받기 위해 치과를 찾고 있다.
이에 수치과병원은 희고 가지런한 치아뿐 아니라 환자의 프로필라인까지 생각한 ‘프로파일 라미네이트’를 선보였다. 프로파일 라미네이트는 정면은 물론이고 측면까지 단 한 번의 시술로 치아 전체를 디자인하는 치아성형이다.
즉, 특정 문제 치아만을 고려하여 치료하는 기존의 라미네이트 시술과는 달리 전체적인 치아를 아름답게 배열해 치아뿐만 아니라 입을 다물었을 때도 아름다운 프로필라인을 만드는 종합치아성형술이라고 볼 수 있다.
수치과 류홍열 원장은 “라미네이트는 자연치아의 이상적인 형태와 색상을 재현함으로써 가지런한 치열과 영구미백의 두 가지 효과를 얻을 수 있다. 뿐만 아니라 프로파일 라미네이트의 경우 평소 돌출입으로 고민이었던 이들에게 치아교정과 미백뿐만 아니라 튀어나온 입도 교정해 주어 어떤 각도에서도 환한 미소를 잃지 않게 도와준다”고 말했다.
류 원장은 “세상에 똑같은 얼굴을 가진 사람이 없는 것처럼 치아도 사람의 특성에 따라 모양과 색상, 질감이 모두 다르다. 그러므로 개개인에게 어울리는 치아를 만들기 위해서는 숙련된 노하우와 라미네이트 팁을 만드는 전문성이 필수이다. 이를 충족시키기 위해 수치과에서는 전담심미기공센터와 세라미스트를 양성하고 있다”고 덧붙였다. / 생활경제팀 osenlife@osen.co.kr
화보로 보는 뉴스, 스마트폰으로 즐기는 ‘OSEN 포토뉴스’ ☞ 앱 다운 바로가기