표정만으로 상대방의 기분까지 좋아지게 만드는 사람들이 있다. 바로 화사하고 아름다운 미소를 가진 사람들이다. 특히 인기 있는 연예인들을 보면 어떤 표정보다 웃는 모습이 아름답다는 것을 알 수 있다. 이러한 미소는 비단 연예인뿐만 아니라 비즈니스나 대인관계에서도 매우 중요하다.
그렇다면 상대방까지 기분 좋게 만드는 화사하고 아름다운 미소의 가장 중요한 요소는 무엇일까. 미소는 가장 즐거운 마음을 표현하는 표정으로 미소를 지을 때면 자연스럽게 입꼬리가 올라가고 치아가 보인다. 여기서 전체적인 이목구비만큼 중요한 것이 바로 치아다.
웃을 때마다 보이는 희고 가지런한 치아는 미소를 훨씬 화사하고 깔끔하게 만들어준다. 비단 아름다운 미소 뿐 아니라 희고 가지런한 치아는 전체적인 얼굴의 이미지를 결정하는데 중요한 역할을 한다.

우리가 거울을 보거나 사진을 찍을 때에는 의식적으로 치아가 안 보이는 표정을 짓지만 치아는 말을 하거나 미소를 지을 때, 화를 낼 때조차 자연스럽게 노출된다. 때문에 이러한 치아가 삐뚤거나 착색됐을 경우에는 전체적인 이미지가 깔끔하지 못하고 시선이 자꾸 치아로 분산되어 얼굴이 아무리 예뻐도 상대방에게 좋은 이미지를 남길 수 없는 것이다.
이에 많은 연예인을 비롯한 사람들이 치아교정을 통해 이미지 변신을 꾀한다. 최근에는 남녀노소를 불문하고 희고 가지런한 치아를 가지기 위해 치과를 찾는다.
그러나 치료기간이 적게는 1년, 많게는 3년 이상 걸리는 치아교정을 받는 것은 부담스럽다. 사회생활을 하고 있는 직장인의 경우, 외관상으로 보기 흉한 교정기기를 착용하고 있어야 하는 치아교정은 여간 부담스러운 일이 아닐 수 없다. 이 때문에 최근 가장 인기를 얻고 있는 것이 바로 라미네이트다.
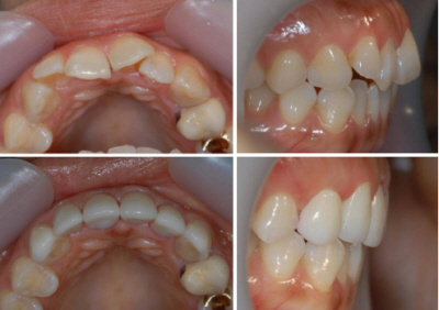
라미네이트란 가지런한 치아를 방해하는 문제의 치아 겉면을 소량 삭제한 뒤 그 위에 가지런한 모양의 라미네이트 팁을 붙이는 시술로 치아미백 효과와 치아교정 효과를 한꺼번에 얻을 수 있는 치아성형이다. 그렇다면 정말 라미네이트만으로 이렇게 예뻐질 수 있을까.
실제로 아름다운 얼굴에서 가장 중요한 것은 균형이 맞는 얼굴이다. 입체적인 얼굴에서도 특히 중요한 것은 옆모습이 자연스러워야 한다. 특히 코끝에서 턱 끝까지 직선으로 이었을 때 입술이 살짝 닿아야 정면에서 봤을 때에도 코가 높아 보이고 얼굴이 작아 보인다. 그러나 많은 이들이 앞으로 돌출된 치아 때문에 이러한 라인을 망치는 경우가 많다.
이러한 경우에는 라미네이트를 통해 돌출된 치아를 교정하면 하관이 작아 보여 전체적인 얼굴이 더 조화롭게 보이며 얼굴이 훨씬 입체적으로 보일 뿐 아니라 코가 오뚝해 보이는 효과도 있다. 이 때문에 많은 이들이 돌출된 앞니를 교정하는 라미네이트 치료를 받기 위해 치과를 찾고 있다.
수치과병원은 희고 가지런한 치아뿐 아니라 환자의 프로필라인까지 생각한 ‘프로파일 라미네이트’를 선보였다. 프로파일 라미네이트는 정면은 물론이고 측면까지 단 한 번의 시술로 치아 전체를 디자인하는 치아성형이다.
즉 특정 문제 치아만을 고려하여 치료하는 기존의 라미네이트 시술과는 달리 전체적인 치아를 아름답게 배열해 치아뿐만 아니라 입을 다물었을 때도 아름다운 프로필라인을 만드는 종합치아성형술이라고 볼 수 있다.
수치과 류홍열 원장은 “라미네이트는 자연치아의 이상적인 형태와 색상을 재현함으로써 가지런한 치열과 영구미백의 두 가지 효과를 얻을 수 있다. 뿐만 아니라 프로파일 라미네이트의 경우 평소 돌출입으로 고민이었던 이들에게 치아교정과 미백뿐만 아니라 튀어나온 입도 교정해 주어 어떤 각도에서도 환한 미소를 잃지 않게 도와준다”고 말했다. / 생활경제팀 osenlife@osen.co.kr
화보로 보는 뉴스, 스마트폰으로 즐기는 ‘OSEN 포토뉴스’ ☞ 앱 다운 바로가기