프랑스의 유명한 수학자이자 철학자였던 블레즈 파스칼(Blaise Pascal)은 "클레오파트라의 코가 조금만 낮았더라면 세계 역사는 완전히 바뀌었을 것이다"라는 말을 남겼다. 파스칼이 고금을 막론한 미의 대표적인 상징이며 이집트를 이끌었던 여왕 클레오파트라의 코를 언급한데는 실제 코가 얼굴의 중심을 잡아주는 주요한 부위이며 사람의 자존심을 상징하기 때문. 특히 외모가 중요시 되는 요즘 코에 대한 사람들의 관심은 매우 더욱 높아졌다.
하지만 살아가면서 뜻하지 않은 사고를 겪게 되고 코에 충격을 받거나 상처를 입는 경우가 많다. 코는 다른 신체 기관들과 달리 외형적으로 돌출되어 있으며 뼈 자체가 단단하지 않기 때문에 사고 발생시 다칠 확률이 큰 부위다. 이상을 느끼고 신속히 병원을 찾아 제대로 된 치료를 받으면 다행이지만 대수롭지 않게 여긴 후 시간이 지나고 코에 변형이 찾아와 내원하는 환자가 많다.
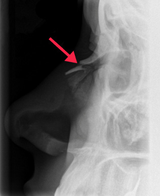
특히 코뼈는 독립적인 것이 아니라 인접한 얼굴뼈와 연결성이 크다. 따라서 코에 손상을 입었다면 X-ray나 CT 촬영 등 정밀한 검사를 통해 얼굴 전체적인 이상 유무를 확인하는 것이 좋다. 만약 검사 과정에서 코뼈골절이 밝혀지면 수술을 꼭 받아야 한다. 코골절 교정술은 간단해보이지만 정확성과 전문의의 고도의 노하우와 경험이 뒷받침 되어야 하는 쉽지 않은 수술이다.

만약 비골골절 교정술을 쉽게 생각하고 전문적이지 못한 기관에서 시술 받을 경우 추후 매부리코나 휜코같은 2차적인 후유증이 나타나기 쉽다. 아주 작은 비용적인 부분의 차이만 생각하다 오히려 비용과 시간이 두배로 들고 환자는 엄청난 스트레스와 고통에 시달릴 수 있기 때문에 처음 병원 선택이 중요하다.
오페라성형외과 정경인 원장(성형전문의)은 "코는 얼굴의 균형을 잡아주는 중요한 역할을 하기 때문에 충격을 받아 손상됐을 경우 얼굴에 변형이 일어날 수 있다. 초기 정확한 수술을 받는다면 문제되지 않지만 제대로 치료하지 않으면 휜코, 매부리코 등 2차적인 변형으로 연결될 수 있다"고 조언했다.
상태가 심한 코뼈골절이라면 1차적인 수술만으로는 외형적인 불균형을 해소하기 어렵다. 때문에 반드시 시간이 경과한 후 전문의와 상담을 통해 자신의 얼굴에 문제가 없는지 확인 해보는 과정이 필요하다. 정원장은 "정확한 검사와 수술을 하면 코가 손상되기 전보다 더 매력적인 코를 만들 수 있다"고 덧붙였다.
[OSEN=생활경제팀]osenlife@osen.co.kr
화보로 보는 뉴스, 스마트폰으로 즐기는 ‘OSEN 포토뉴스’ ☞ 앱 다운 바로가기