한강이 꽁꽁 얼어붙는 매서운 추위가 연일 계속되며 이에 따른 사건사고가 속출하고 있다. 보일러나 수도관 동파는 물론이며 잦은 난방 제품 사용으로 인한 화재도 크게 늘었다. 또한 내린 눈과 빙판길 등에서 생기는 미끄럼 사고도 많다.
특히 사람들이 몰리는 스키장에서도 이러한 골절사고가 자주 빈번히 발생하고 있다. 이렇게 골절사고가 늘어나며 관련 병원들은 환자들로 넘치는 상황. 목동에 사는 31살 이미경씨 역시 얼마 전 집 앞 내리막길에서 미끄러져 코뼈가 부러지는 사고를 당해 병원을 찾았지만 한참을 기다리고 나서야 수술을 받을 수 있었다.
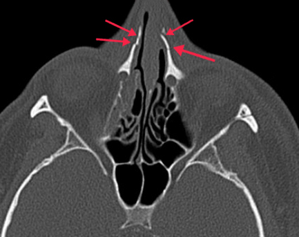
코뼈골절의 경우 신속하고 섬세한 수술이 매우 중요한데 이는 제대로 된 치료를 받지 않으면 추후 코가 휘거나 가라앉는 등 기형이 생길 수 있기 때문이다. 특히나 코뼈는 인근 얼굴뼈와 연관되어 있기 때문에 전체적인 얼굴 비율을 감안하여 수술해야 불균형을 방지할 수 있다. 따라서 수술 전 X-ray나 CT 촬영 등 세밀한 검사는 필수이며 풍부한 수술 경험이 있는 전문의와 충분한 상담이 필요하다. 수술 과정은 기계적으로 진행되는 것이 아닌 전문의가 직접 실시하기 때문에 수술 역량에 따라 결과 차이 또한 크다.

1차적인 수술이 성공적으로 끝났어도 세월의 흐름과 2차적인 외부 충격에 의해 얼굴 변형이 일어나기 쉽기 때문에 이상을 느낀다면 다시 검사를 받아보는 것이 좋다. 강남역 오페라성형외과 정경인 원장은 "요즘과 같은 겨울철에 미끄러지거나 장난을 치다가 비골골절이 발생하는 경우가 많다. 충격을 받았음에도 외관상 문제가 없다고 그냥 방치하게 되면 추후 매부리코나 휜코로 발전 할 수 있기 때문에 빠르게 내원하여 상담 및 검사를 받는 과정이 필요하다"고 전했다.
만약 코에 변형이 일어났다고 하여 본인 스스로 충격을 가해 바로잡으려 하면 더 큰 변형이 일어나거나 심할 경우 호흡장애 등 문제로 발전할 수 있다. 얼굴의 균형을 잡는데 가장 중요한 코가 정상적이지 못하다면 상대에게 비호감을 주고 매서워 보일 수 있기 때문에 대인관계에 큰 지장을 주게 된다. 따라서 면접을 준비한다거나 새롭게 학교를 입학하기 전 코에 문제가 있다면 코성형을 진지하게 생각해봐야 한다.
[OSEN=생활경제팀]osenlife@osen.co.kr
화보로 보는 뉴스, 스마트폰으로 즐기는 ‘OSEN 포토뉴스’ ☞ 앱 다운 바로가기