- 미니금속판 도입, 핀 제거 목적의 2차 수술 하지 않아도 돼 간편
여성들의 사이에서 하이힐의 인기가 꾸준하다. 오히려 하이힐을 신었을 때가 발이 편하다고 할 정도로 마니아층도 두텁다. 하이힐이 옷맵시를 살려주고 다리를 길어보이게 만들어주는 등 여심을 흔들기에 충분히 매력적인 것은 사실이나, 발 건강엔 치명적인 독이 되는 이면에 주목해야 하겠다.
■ 잘못된 신발선택이 무지외반증 유발
잘못된 신발 습관이 불러올 수 있는 대표적 질환에는 무지외반증을 꼽는다. 무지외반증은 엄지발가락(무지)이 바깥쪽으로 휘어지는 것(외반)을 말하는 질환으로 40~50대 중년층, 특히 여성에게서 5~6배 정도 많이 발생되는 중년 여성의 대표인 발 질환이다. 엄마가 무지외반증일 경우, 딸에게도 발견되기 쉬운 등 유전적 요인이 작용하기도 하지만 잘못된 신발 선택이 원인이 되는 경우가 더 많다. 신발을 고를 때는 발의 폭에 맞추는 것이 중요하지만, 보통은 신발의 디자인이나 발 길이만을 고려하여 신기 때문에 무지외반증에 걸릴 확률이 높아지는 것이다.
무지외반증 초기 증상은 엄지발가락 안쪽이 돌출되고 빨갛게 변하며 때때로 통증을 느끼는 것으로 시작된다. 그러다 점점 통증이 심해지면 무의식적으로 엄지발가락을 바닥에 딛지 않고 걷는 습관이 생기게 된다. 이는 결국 엄지발가락이 본래의 역할을 하지 못해 발바닥에 굳은살이 생기고 신경이 뭉쳐 발바닥 앞쪽 부위에 통증을 유발한다. 발의 변형이 점점 심해져 발바닥을 지탱하는 뼈의 배열이 틀어지게 되는 것이다.

연세사랑병원 족부센터 박의현 원장은 “무지외반증으로 인한 잘못된 걸음걸이는 무릎이 받는 하중을 비정상적으로 가져와 관절염을 일으키기 쉽고, 척추에도 무리를 줘 허리 디스크 등의 2차 질환이 생길 수 있다”며 “보행까지 장해가 올 정도로 심한 무지외반증은 수술이 최선의 방법인데, 최근에는 핀 제거를 위한 2차 수술에 대한 불편함을 보완하는 수술법이 도입돼 수술을 망설였던 환자들에게 선택의 폭이 넓어졌다”고 말했다.
■ 미니금속판 고정 절골술, 2~3일 후 목발 없이 보행
무지외반증은 재활치료나 주사치료 등의 비수술 요법으로는 완치가 어렵다. 돌아가기 시작한 뼈를 돌려주어 고정을 해줘야만 재발이 생기지 않는 것이다. 그렇기 때문에 수술과 입원에 필요한 시간을 내기가 쉽지 않은 경우 갈수록 증상이 더 심해지는 악순환이 반복되기도 한다. 하지만 이런 걱정은 ‘미니금속판 고정 절골술’의 도입으로 해소될 수 있을 것으로 보인다.
기존의 절골술은 휘어진 엄지발가락의 뼈를 돌려서 제자리를 잡아준 후 고정을 위해 핀을 사용한다. 이 때 사용된 핀은 제거를 해야 하기 때문에 약 6주 후 또 한 번 수술을 해야 하는 번거로움이 있었다. 물론 녹는 핀을 사용하거나, 핀 고정을 하지 않는 수술도 존재하지만, 이는 무지외반증이 비교적 심하지 않거나 골질이 좋은 환자의 경우에만 해당되어 무지외반증이 심한 환자의 경우, 2차 수술은 불가피했다.
연세사랑병원 족부센터 이호진 과장은 “미니금속판을 이용한 수술은 무지외반증이 심한 환자도 받을 수 있고 보험도 적용가능 해, 선택의 폭이 향상됐다”며 “미니금속판은 인체에 무해한 티타늄 소재로 만들어졌고, 크기가 1~3cm로 작기 때문에 금속판 자체로 인한 큰 절개가 필요 없어 미용적으로도 우수하다”고 덧붙였다.
과정은 먼저, 엄지발가락 부위를 절개한 후, 엄지발가락 하단 부위인 제1중족골 부위 1~2곳을 절골해 엄지발가락의 위치를 바로잡는다. 이 때, 뼈를 고정시키는 과정에서 기존의 금속핀 대신 미니금속판이 사용된다. 수술 부위에 맞는 미니금속판을 선택해 부착하고 같은 재질의 핀을 박아주면 수술이 끝난다. 미니금속판은 뼈가 붙고 난 뒤에도 제거하지 않아도 되므로 2차 수술 또한 하지 않는다.

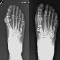
[사진. 미니금속판 수술 전후 모습]
시간은 30분 정도로 짧고, 입원은 2~3일만 하면 되기 때문에 직장인들의 경우 주말을 이용해 수술이 가능하다. 수술 후 깁스는 하지 않아도 되며, 대신 2~3일 후부터 엄지발가락을 살짝 띄워주는 특수 신발을 신으면 목발 없이 걸을 수 있어 빠르게 일상생활로 복귀할 수 있다.
<미니금속판을 이용한 절골술의 특징>
1. 수술 후 핀을 제거하지 않아 2차 수술이 불필요
2. 작은 절개부위로 미용적으로도 우수
3. 수술시간이 30분 내외로 짧아 회복이 빠름
4. 입원기간이 하루, 이틀로 짧아 주말을 이용해 시술이 가능
5. 목발 및 기브스가 필요하지 않아 수술 후 바로 보행
6. 건강보험 적용으로 비용이 저렴
7. 한 번의 수술로 재활기간 단축
/강진수 객원기자 osenlife@osen.co.kr
화보로 보는 뉴스, 스마트폰으로 즐기는 ‘OSEN 포토뉴스’ ☞ 앱 다운 바로가기