쉽사리 풀리지 않는 꽃샘추위. 무릎 관절염을 앓고 있는 사람이라면 심해진 통증으로 운동은 물론 외출할 엄두도 나지 않는다. 낮은 기온이 근육과 인대를 수축시켜 관절의 통증을 악화시키기 때문이다. 이 때 통증이 극심해 일상생활에 어려움을 겪을 정도라면 한 번쯤 인공관절 수술을 고려해보기도 한다.
인공관절 수술은 심한 퇴행성관절염 치료에서 대표적으로 사용되는 것으로, 닳아 없어진 무릎 연골 대신 인체에 해가 없는 새로운 연골을 넣어 무릎관절의 통증을 없애주고 운동범위를 확보 하는 수술법이다. 하지만 인공관절은 말 그대로 인공장기이기 때문에 자기 관절과 100% 같지 않다. 통증을 줄이고, 운동범위를 확보해 주지만 자기관절이 아니기 때문에 마지막 수단으로 활용 되고 있다. 그렇다면 어떤 사람에게 인공관절이 필요한 것일까.
1) 60대 이상 - 젊은 사람은 피하는 것이 좋아

인공관절에도 수명이 있다. 일반적으로 수술을 정확하게 할 경우 인공관절을 최소 15년 이상 문제없이 사용할 수 있다. 하지만 의학의 발전으로 평균수명이 늘어나고 있는 요즈음 60세 이전에서 인공관절 수술을 받을 경우 일생 중 한번은 재수술을 받아야 할 확률이 높아졌다. 재수술의 경우에 결과도 좋지 않고, 수술의 부작용도 많기 때문에 60대 이전에서 인공관절 수술을 적극적으로 권유하지 않았다. 또한, 젊은 관절염 환자들의 경우 연골재생술 등의 방법으로 해결이 가능하기 때문에 최대한 자기관절을 보존하는 치료를 하고 난 뒤에 시행하는 것이 좋겠다.
60세 이상이라고 해도 별 무리 없이 약물치료만으로도 통증을 조절하며 살 수 있다. 하지만 약물치료로도 더 이상 효과가 없을 때 인공관절 수술을 고려해 볼 수 있다. 인공관절 수술의 가장 큰 목적은 통증의 완화와 운동범위의 회복이다. 극심한 통증 때문에 걷기조차 어려운 사람, 연골이 닳아진 정도가 너무 심해 O자 형태로 변하는 경우 인공관절 수술이 필요하다.

연세사랑병원 고용곤 병원장은 “인공관절 수술을 하는 시기를 최대한 늦추는 것이 좋지만 극심한 통증으로 보행이 어려울 정도라면 수술이 필요하다”며, “수술기법의 발달로 통증도 줄이고, 만족도는 높일 수 있다”고 말했다.
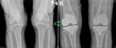
2) 퇴행성 관절염 진행상 말기의 경우
퇴행성 관절염의 진행과정을 보면 크게 초기, 중기, 말기 3가지로 나누어 볼 수 있다. 단계에 따라 증상도 다르고, 치료법도 다르다. 퇴행성 관절염 초기의 경우 무릎 주변 근육을 강화하는 운동을 실시해 주고, 때에 따라 통증이 심하면 주사치료를 한다. 초기에서 중기로 이동하면 관절 통증이 더욱 심해지는데 이때에는 주사치료와 같이 관절 내시경을 이용해 관절면을 다듬거나 손상된 연골을 재생해 주는 치료를 실시하게 된다. 하지만 뼈와 뼈 사이가 완전히 달라붙은 말기의 경우엔 수술밖에는 치료 방법이 없어 인공관절 삽입 수술을 받아야 한다.
퇴행성 관절염 말기로 인공관절 수술을 받는 환자들의 대부분이 상체는 뚱뚱하고, 하체는 날씬한 몸 상태를 가지고 있다. 비만이 여러 가지 성인병의 원인이 되는 것은 물론 관절 건강까지 해칠 수 있으므로 비만을 예방하기 위해 노력해야 한다.
3) 관절변형이 심한 사람은 관절운동범위를 위해
퇴행성 관절염은 말 그대로 퇴행의 변화를 겪으면서 나타나기 때문에 중년이후에 많이 발생한다. 하지만 류마티스 관절염과 같이 면역체계 이상으로 인한 관절염이라면 어린 나이, 특히 소아에서부터 20대의 젊은 여성에서도 발생할 수 있다. 이런 경우 적절한 약물치료를 하면서 잘 관리하면 문제가 없으나, 관리 없이 방치하게 되면 관절이 심하게 변형이 될 수 있다. 류마티스 관절염으로 인한 변형은 관절과 관절 사이의 뼈가 녹아 붙기까지 해 젊은 나이라고 하더라도 인공관절 수술이 필요하다.

교통사고나 낙상 사고 등으로 골절이 발생한 후에 생기는 외상성 관절염이나 감염성 관절염의 후유증으로 인한 변형이 있는 경우에도 인공관절 수술을 통해 비교적 정상적인 기능을 가진 관절로 회복 할 수 있다. 고용곤 병원장은 “관절변형으로 인해 일상생활의 불편을 겪고 있거나 심리적으로까지 고통을 겪는 분들도 인공관절수술을 통해 극복할 수 있다”고 말했다.
무릎뿐만 아니라 팔목, 발목, 무릎 등 관절의 변형으로 가동범위가 나오지 않는 경우 인공관절 수술을 통해 관절의 움직임을 원활하게 함으로써 도움을 받을 수 있다. /강진수 객원기자 osenlife@osen.co.kr
화보로 보는 뉴스, 스마트폰으로 즐기는 ‘OSEN 포토뉴스’ ☞ 앱 다운 바로가기