ㅍOSEN=민경훈 기자] 19일 오후 서울 마포구 상암 CJ E&M 센터에서 Mnet ‘엠카운트다운' 리허설 및 포토타임이 진행됐다.가수 팬시레드가 엠카운트다운 포토월에서 포즈를 취하고 있다. / rumi@osen.co.kr
[OSEN=민경훈 기자] 19일 오후 서울 마포구 상암 CJ E&M 센터에서 Mnet ‘엠카운트다운' 리허설 및 포토타임이 진행됐다.가수 K타이거즈제로가 엠카운트다운 포토월에서 포즈를 취하고 있다. / rumi@osen.co.kr
[OSEN=김보라 기자] 배우 박지후가 그룹 엑소 팬이라고 밝혔다.19일 오후 방송되는 MBC '섹션TV 연예통신'에서는 전 세계 25관왕을 차지한 영화 '벌새'(감독 김보라)의 주역인 박지후와의 특별한 인터뷰가 공개된다.'벌새'는 1994년 알
[OSEN=이승우 기자] "상주 상대하는 것이 실감나지 않는다."김민우(29)가 군 복무를 무사히 마치고 지난 17일 원 소속팀 수원 삼성에 합류했다. 김민우는 지난 2018년 1월 입대해 상주 상무에서 병역의 의무를 이행했다. 상주
[OSEN=선미경 기자] 여성듀오 다비치 멤버 이해리가 신곡 '나만 아픈 일' 뮤직비디오 티저를 공개했다.이해리는 오늘(19일)공식 SNS를 통해 디지털 싱글 '나만 아픈 일' 뮤직비디오 티저를 게재하며 컴백 열기를 고조시켰다.공개된
[OSEN=지민경 기자] 그룹 V.O.S와 가수 KCM이 가을 감성 가득한 라이브를 선보였다.19일 오후 방송된 MBC FM4U '정오의 희망곡김신영입니다'에는 V.O.S와 KCM이 게스트로 출연했다.이날 V.O.S는 '큰일이다' 라이브 무대로 활기차게 오프닝
[OSEN=민경훈 기자] 19일 오후 서울 마포구 상암 CJ E&M 센터에서 Mnet ‘엠카운트다운' 리허설 및 포토타임이 진행됐다.가수 라붐 솔빈이 엠카운트다운 포토월에서 포즈를 취하고 있다. / rumi@osen.co.kr
[OSEN=민경훈 기자] 19일 오후 서울 마포구 상암 CJ E&M 센터에서 Mnet ‘엠카운트다운' 리허설 및 포토타임이 진행됐다.가수 라붐이 엠카운트다운 포토월에서 포즈를 취하고 있다. / rumi@osen.co.kr
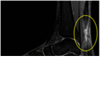
[OSEN=강희수 기자]아킬레스건은 발꿈치뼈 뒤쪽에 있는 힘줄이다. 의학적으로 그렇다. 그런데 일상생활에서는 ‘치명적 약점’이라는 비유적 의미로 더 많이 쓰인다.우리 몸에 있는 여러 힘줄 중 하나일 뿐이지만 아킬레스
[OSEN=민경훈 기자] 19일 오후 서울 마포구 상암 CJ E&M 센터에서 Mnet ‘엠카운트다운' 리허설 및 포토타임이 진행됐다.가수 아이즈가 엠카운트다운 포토월에서 포즈를 취하고 있다. / rumi@osen.co.kr
[OSEN=김나희 기자]‘달리는 조사관’이요원,최귀화가 첫 공조에 나선다.OCN수목드라마 ‘달리는 조사관’(극본 백정철/ 연출 김용수)측이19일,각자의 방식으로 첫 공조에 나선 한윤서(이요원 분)와 배홍태(최귀화 분)
[OSEN=민경훈 기자] 19일 오후 서울 마포구 상암 CJ E&M 센터에서 Mnet ‘엠카운트다운' 리허설 및 포토타임이 진행됐다.가수 에버글로우 이런이 엠카운트다운 포토월에서 포즈를 취하고 있다. / rumi@osen.co.kr
[OSEN=민경훈 기자] 19일 오후 서울 마포구 상암 CJ E&M 센터에서 Mnet ‘엠카운트다운' 리허설 및 포토타임이 진행됐다.가수 에버글로우 온다가 엠카운트다운 포토월에서 포즈를 취하고 있다. / rumi@osen.co.kr
[OSEN=민경훈 기자] 19일 오후 서울 마포구 상암 CJ E&M 센터에서 Mnet ‘엠카운트다운' 리허설 및 포토타임이 진행됐다.가수 에버글로우 시현이 엠카운트다운 포토월에서 포즈를 취하고 있다. / rumi@osen.co.kr
[OSEN=민경훈 기자] 19일 오후 서울 마포구 상암 CJ E&M 센터에서 Mnet ‘엠카운트다운' 리허설 및 포토타임이 진행됐다.가수 에버글로우가 엠카운트다운 포토월에서 포즈를 취하고 있다. / rumi@osen.co.kr
[OSEN=이인환 기자] "큰 실수는 없었지만 파리에서 악몽같은 밤을 보냈다"PSG는 19일 오전 4시(한국시간) 프랑스 파리에 위치한 파르크 데 프랭스에서 열린 레알 마드리드와의 2019-2020 시즌 유럽축구연맹(UEFA) 챔피언스리그(U
[OSEN=인천, 한용섭 기자] 19일 인천 SK행복드림구장. 선두 SK와 3위 두산은 더블헤더 경기를 치른다.경기 전 양 팀 사령탑은 더블헤더에 대한 전략을 일부 공개했다. SK 염경엽 감독은 1차전과 2차전 선발 라인업을 이미 구상해놨다.
[OSEN=이소담 기자] 배우 겸 가수 수지가 '배가본드' 방송을 하루 앞두고 설렘 가득한 소감을 전했다.수지는 19일 자신의 SNS에 "내일 ! 야호 '배가본드'"라는 글을 올렸다. 함께 게재한 사진 속 수지는 가을 분위기 넘치는 의
한소희-전종서, 손 꼭 잡고 레드카펫 행진
박지현, 싱그러운 미소
임윤아,'강렬한 레드'
미야오 엘라, '심쿵 애교'
에스파 카리나, 넘사벽 비주얼 [O! STAR 숏폼]
이주은 야구 대표팀 치어리더, 체코 전통 의상 입고 상큼 공연 [O! SPORTS 숏폼]
젠슨 황 샤라웃 받은 르세라핌 무대[O! STAR 숏폼]
골프 세리머니 이청용, 신태용 감독 저격??? [O! SPORTS 숏폼]
가을 나들이 나온 있지 포착[O! STAR 숏폼]