[OSEN=표재민 기자] 배우 이연희가 미스코리아 대회를 나가는 인물을 연기하는 과정에서 촬영했던 수영복과 목욕탕신에 대해 부담스러웠지만 재밌게 촬영을 마쳤다고 말했다. 이연희는 16일 오후 서울 강남구 논현동 파티오나인
[OSEN=민경훈 기자] 16일 오후 서울 양천구 목동 SBS 사옥에서 열린 SBS 새 수목드라마 '별에서 온 그대'(연출 장태유, 극본 박지은) 제작발표회, 신성록이 무대 위에서 포토타임을 갖고 있다. 이 자리에는 전지현 김수현 박해진 유인
[OSEN=이슈팀] 알코올성 간질환 증가에 누리꾼들이 관심을 모으고 있다. 최근 B형 간염에 의한 간이식은 줄어드는 반면 C형 간염 및 알코올성 간질환에 의한 이식 환자는 증가하고 있는 것이 알려지면서 '알코올성 간질환'이 장안
[OSEN=민경훈 기자] 16일 오후 서울 양천구 목동 SBS 사옥에서 열린 SBS 새 수목드라마 '별에서 온 그대'(연출 장태유, 극본 박지은) 제작발표회, 유인나가 무대 앞으로 걸어나오고 있다. 이 자리에는 전지현 김수현 박해진 유인나 신
[OSEN=이상학 기자] 한화 이글스 외야진이 한층 탄탄해졌다. 한화는 외야수 펠릭수 피에와 계약금 5만 달러 연봉 25만 달러 등 총액 30만 달러에 계약을 체결했다. 피에는 도미니카 공화국 출신으로 신장 188cm, 몸무게 86kg의 중장거
[OSEN=민경훈 기자] 16일 오후 서울 양천구 목동 SBS 사옥에서 열린 SBS 새 수목드라마 '별에서 온 그대'(연출 장태유, 극본 박지은) 제작발표회, 유인나가 무대 위에서 포토타임을 갖고 있다. 이 자리에는 전지현 김수현 박해진 유인
[OSEN=민경훈 기자] 16일 오후 서울 양천구 목동 SBS 사옥에서 열린 SBS 새 수목드라마 '별에서 온 그대'(연출 장태유, 극본 박지은) 제작발표회, 전지현과 김수현이 무대 위에서 포토타임을 갖고 있다. 이 자리에는 전지현 김수현 박
[OSEN=표재민 기자] 배우 이선균이 권석장 PD에 대해 천재라고 치켜세웠다. 이선균은 16일 오후 서울 강남구 논현동 파티오나인에서 열린 MBC 새 수목드라마 ‘미스코리아’ 제작발표회에서 권석장 PD와 ‘파스타’, ‘골든타임’
[OSEN=민경훈 기자] 16일 오후 서울 양천구 목동 SBS 사옥에서 열린 SBS 새 수목드라마 '별에서 온 그대'(연출 장태유, 극본 박지은) 제작발표회, 전지현과 김수현 유인나가 무대 위에서 포토타임을 갖고 있다. 이 자리에는 전지현 김
[OSEN=서정환 기자] 애런 헤인즈(32, SK)에게 일격을 당한 김민구(22, KCC)가 17일 삼성전에 결장한다. 김민구는 지난 14일 잠실학생체육관에서 벌어진 서울 SK전 2쿼터 백코트 도중 애런 헤인즈의 팔꿈치에 명치를 얻어맞고 코트에 쓰
[OSEN=김경주 기자] 남성듀오 UN 출신 배우 최정원이 SBS '일요일이 좋다-서바이벌 오디션 K팝스타 시즌1(이하 'K팝스타1')' 백지웅의 데뷔곡 뮤직비디오에서 열연을 펼쳐 화제다. 최정원은 16일 공개된 백지웅의 데뷔곡 '그립니다'
[OSEN=권지영 기자] 배우 오만석이 KBS 2TV '개그콘서트'(이하 '개콘')에 게스트로 출연한다. 방송관계자는 16일 오후 OSEN에 "오만석이 오는 18일 오후 서울 KBS홀에서 진행되는 '개콘' 녹화에 참여한다. '왕가네 식구들' 허세달 캐릭터
[OSEN=민경훈 기자] 16일 오후 서울 양천구 목동 SBS 사옥에서 열린 SBS 새 수목드라마 '별에서 온 그대'(연출 장태유, 극본 박지은) 제작발표회, 전지현이 무대 위에서 환하게 미소짓고 있다. 이 자리에는 전지현 김수현 박해진 유인
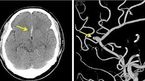
[OSEN=이슈팀] 뇌동맥류 환자가 급증하고 있다. 불과 5년사이에 3.2배나 늘어나면서 누리꾼들의 비상한 관심이 모아지고 있다. 뇌동맥류 환자가 급증한 이유 역시 추운 날씨와 함께 누리꾼들의 관심이 쏠리고 있다. 뇌동맥류 환자
[OSEN=정송이 기자] 16일 오후 서울 파티오나인 그레이스홀에서 진행된 MBC 수목드라마 '미스코리아' 제작발표회에서 권석장 감독이 인사말을 전하고 있다. 이연희, 이선균 주연의 '미스코리아'는 1997년을 배경으로 위기에 처한 화
[OSEN=정송이 기자] 16일 오후 서울 파티오나인 그레이스홀에서 진행된 MBC 수목드라마 '미스코리아' 제작발표회에서 이성민이 포토타임을 갖고 있다. 이연희, 이선균 주연의 '미스코리아'는 1997년을 배경으로 위기에 처한 화장품
프로미스나인 이채영, 사랑스러워
앤 해서웨이,'여신의 뒤태'
있지 유나, 섹시한 시구
블랙핑크 지수,'볼륨치마라 착석이 어려워'
BTS,’13년 우정 느낄 수 있는 찐토크’ [O! STAR]
구교환-문가영,’실제 연인 같은 다정한 커플’ [O! STAR]
[4K]BTS, 다리부상 RM과 함께 ‘SWIM’ [O! STAR]
BTS,’드레스코드는 스위밍 점퍼’ [O! STAR]
BTS 컴백 라이브,’아미와 소우주 한 잔’ [O! STAR]