'2009 CJ 마구마구 프로야구' 롯데 자이언츠와 KIA 타이거즈의 올 시즌 마지막 맞대결 경기가 1일 오후 부산 사직구장에서 벌어졌다. 1회초 롯데 선발투수로 등판한 이정민이 힘차게 볼을 던지고 있다./부산=윤민호 기자ymh@osen.co.kr
오는 9월 5일 서울 월드컵경기장서 벌어질 호주와 평가전을 앞두고 축구대표팀 해외파 선수들이 1일 정오 파주NFC에 소집 오후 훈련을 가졌다. 훈련에 앞서 선수들이 러닝으로 몸을 풀고 있다./파주=김영민 기자ajyoung@osen.co.kr
오는 9월 5일 서울 월드컵경기장서 벌어질 호주와 평가전을 앞두고 축구대표팀 해외파 선수들이 1일 정오 파주NFC에 소집 오후 훈련을 가졌다. 훈련에 앞서 김남일,설기현이 몸을 풀고 있다./파주=김영민 기자ajyoung@osen.co.kr
'2009 CJ 마구마구 프로야구' 롯데 자이언츠와 KIA 타이거즈의 올 시즌 마지막 맞대결 경기가 1일 오후 부산 사직구장에서 벌어졌다. 1회말 KIA 선발투수로 등판한 서재응이 힘차게 볼을 던지고 있다./부산=윤민호 기자ymh@osen.co.kr
오는 9월 5일 서울 월드컵경기장서 벌어질 호주와 평가전을 앞두고 축구대표팀 해외파 선수들이 1일 정오 파주NFC에 소집 오후 훈련을 가졌다. 훈련에 앞서 이영표 김동진 박지성이 설기현을 보고 웃으며 훈련장을 향하고 있다./파주=김영민 기자ajyoung@osen.co.kr
[OSEN=파주, 박린 기자] "(기)성용이가 없어 허전하다". '블루 드래곤' 이청용(21, 볼튼 원더러스)이 오는 5일 열릴 호주와 평가전을 앞두고 1일 파주 NFC(대표팀트레이닝센터)에 입소해 절친한 친구인 기성용(20, FC 서울)에 대한 변함 없는 우정을 과시했다. 대한축구협회와 프로축구연맹은...
[OSEN=손남원 기자] 영화채널 OCN은 한창 나이에 안타까운 생을 마감한 톱스타 장진영을 추모하기 위한 유작전을 긴급 편성키로 했다. 2일(수)부터 4일(금)까지 3일간 매일 오전 9시, 장진영 주연의 <연애, 그 참을 수 없는 가벼움> <오버 더 레인보우> <소름>을 상영한다. OCN 측은 “배우 장진영이 영화를 통해 보여준, 당차고도...
[OSEN=부산, 손찬익 기자] 8개 구단 가운데 잔여 경기수가 가장 적은 롯데 자이언츠는 1일 사직구장에서 KIA와 한판 승부를 벌인 뒤 5일 문학구장에서 SK와 주말 2연전을 벌인다. 1일 경기에 앞서 취재진과 만난 제리 로이스터 감독은 "지금껏 1주일에 6경기를 소화하다가 3경기만 하면 훈련에 집중하기 힘들고 3일 연속 쉬는 것도...
[OSEN=부산, 손찬익 기자] 롯데 자이언츠가 정수근(32, 외야수)을 퇴출시키기로 최종 결정했다. 롯데는 "지난달 31일 발생한 정수근의 음주 행패 신고의 진위 여부와는 관계없이 정수근이 지난해 음주 폭행사건을 비롯해 과거 수 차례 불미스러운 사건에 연루됐고 징계 해제 요청한 뒤 자숙을 해야 할 시기이며 소속 구단이 포스트시즌...
[OSEN=우충원 기자] "우승, 절대로 놓치지 않겠다". 부산 아이파크와 포항 스틸러스는 오는 2일 부산 아시아드주경기장에서 컵대회 결승 1차전 맞대결을 펼친다. 올 시즌 프로축구의 첫번째 우승컵의 주인공을 결정할 분수령이 될 이번 대결을 앞두고 황선홍 부산 감독과 세르지오 파리아스 포항 감독은 1일 가진 기자회견서 우승에...
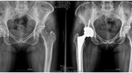
평소 사람들과 어울리기를 좋아해 자연스레 술자리도 잦은 평범한 직장인 강모(47세, 남)씨. 6개월 전부터 왼쪽 사타구니와 엉덩이 쪽으로 통증이 있었다고 한다. 시간이 지나면 낫겠지 하고 기다리다가 통증이 심해져서 찾아간 병원에서 뜻밖에 고관절 무혈성 괴사증이라는 진단을 받았다. 가정주부 권모(54세, 여)씨는 어릴 적부터 왼쪽 다리가 약간 짧고...
[OSEN=이정아 기자]'명랑 음악 전도사'로 불리는 2인조 전자음악 듀오 페퍼톤스가 9월 18일부터 3일간 서울 KT&G 상상마당에서 갖는 단독 콘서트에 방문하는 관객들에게 특별한 사과의 선물을 준비했다. 이 공연의 제목은 '3집 발매 기념 콘서트'인데 9월초로 예정돼 있던 그들의 3집 앨범 발표가 전격 연기된...
[OSEN=박종규 객원기자] 주니치 이병규(35)가 두 경기 연속으로 선발에서 제외됐다. 주니치는 1일 히로시마 도요 카프와 경기를 앞두고 발표한 선발 라인업에서 이병규를 제외시켰다. 이병규는 지난달 29일까지 3경기 연속 무안타로 침묵한 데 이어 30일 경기에서는 선발 제외된 바 있다. 이날 이병규를 대신한 우익수 자리에는 히라타가...
[OSEN=최나영 기자] 배우 장진영이 37세의 나이로 1일 짧은 삶을 마감했다. 지난 해 9월 발견한 위암으로 1년여 투병생활을 해 오다 결국 숨을 거둔 故 장진영은 2000년대 충무로를 대표하는 여배우로서 불꽃같은 삶을 살다 세상을 떠났다. 한때 상태가 호전되는 듯하고 열애 사실을 공개하면서 팬들의 응원을 받기도 했지만, 병마를 이길 수는...
[축구토토]2010년 남아공 월드컵 예선전, 각 클럽들의 대표팀 차출 선수 파악… 이동시간이 긴 남미, 아시아 선수들 컨디션 살필 것 2010년 남아공월드컵의 최종 본선 진출팀을 가리기 위한 세계 각국들의 경쟁이 치열하게 전개되고 있다. 이번 주 역시 각국 국가대표팀 경기들이 펼쳐질 예정인 가운데 스포츠 종합매거진 스포츠온...
[OSEN=부산, 손찬익 기자] "정수근이 빠졌지만 팀에는 큰 지장이 없다고 생각한다". 제리 로이스터 롯데 자이언츠 감독이 음주 난동을 일으킨 정수근(32, 외야수)의 이탈에 대해 팀 전력에는 큰 문제가 없다고 밝혔다. 정수근은 지난달 31일 밤 부산 해운대 모 주점에서 상의를 벗은 채 소리를 지르고 종업원에게 욕설을 하는...
[야구토토]스페셜 트리플 더블 게임 데이터 <44회차> 온라인으로 받아보는 스포츠 신문, 디지털 무가지 OSEN Fun&Fun, 매일 3판 발행 ☞ 신문보기 [Copyright ⓒ 한국 최고의 스포츠 엔터테인먼트 전문 미디어...
[야구토토]2009 시즌 프로야구 3경기 대상 야구토토 스페셜 44회차 투표율 중간집계...두산, 히어로즈, KIA 우세한 경기 펼칠 것… 2일(수) 오후 6시 20분 발매마감 국내 야구팬들은 오는 2일(수) 오후에 벌어지는 2009 시즌 국내프로야구 삼성-KIA전에서 KIA의 승리를 전망했다. 스포츠토토 공식 온라인 발매...
빌리 하람,'눈부신 핑크 헤어'
에이핑크 오하영, '감출 수 없는 복근'
김스경, 여신 자태
이윤지-홍수현, 아찔한 의상
‘케데헌’ 이재, “골든 저작권료? 엄마 선물 사드릴 듯”[O! STAR 숏폼]
안지현 치어리더, 압도하는 '뱅뱅' 공연 [O! SPORTS 숏폼]
LG 차영현 치어리더, 팀장님의 아찔한 사복패션 공연 [O! SPORTS 숏폼]
LG 승요 강림 있지 유나, 시구 자체가 화보 컷 [O! SPORTS 숏폼]
장원영, 인간 체리 워뇨 (full) [O! STAR]