[OSEN=이대선 기자] '2011 Cartier High Jewelry Diamond Collection'이 18일 오전 서울 한남동 그랜드 하얏트 서울에서 열렸다. 배우 지성이 포즈를 취하고 있다. /sunday@osen.co.kr
[OSEN=박광민 기자]'추추트레인'추신수(29, 클리블랜드 인디언스)가 세 차례나 출루하며 팀 승리에 기여했다.추신수는 18일(이하 한국시간) 미국 미주리주 캔자스시티 코프먼 스타디움에서 열린 캔자스시티 로얄스와 원정 경기에 3번타자 우익수로 선발 출장해 5타
[OSEN=박준형 기자] 걸그룹 티아라의 멤버 함은정과 배우 황우슬혜가 출연하는 영화 '화이트:저주의 멜로디' 제작보고회가 18일 오후 서울 압구정CGV에서 진행됐다. 영화 '화이트:저주의 멜로디'는 극중 인기 아이돌인 '핑크돌즈' 멤버들의 화려
[골프토토]PGA 크라운 플라자 인비테이셔널 1라운드 대상 스페셜 29회차KLPGA 러시앤캐시 채리티 클래식 대상 스페셜 30회차 발매…19일 마감국내 골프팬들은 PGA 크라운 플라자 인비테이셔널에서 브랜트 스네데커의 언더파 가능성을 가장 높게 점치고 있는
[OSEN=이대선 기자] '2011 Cartier High Jewelry Diamond Collection'이 18일 오전 서울 한남동 그랜드 하얏트 서울에서 열렸다. 배우 지성이 행사장으로 이동하고 있다. /sunday@osen.co.kr
[OSEN=이대선 기자] '2011 Cartier High Jewelry Diamond Collection'이 18일 오전 서울 한남동 그랜드 하얏트 서울에서 열렸다. 변정수가 포즈를 취하고 있다. /sunday@osen.co.kr화보로 보는 뉴스, 스
[OSEN=이대선 기자] '2011 Cartier High Jewelry Diamond Collection'이 18일 오전 서울 한남동 그랜드 하얏트 서울에서 열렸다. 변정수가 포즈를 취하고 있다. /sunday@osen.co.kr
[골프토토]PGA 크라운 플라자 인비테이셔널 1라운드 대상 1 대 11 3회차 투표율 중간집계오는 19일 오후 7시 50분 발매 마감국내 골프팬들은 골프토토의 신상품 1대11 3회차에서 기준선수 비제이 싱이 브랜트 스네데커보다 우수한 성적으로 1라운드를 마칠 것으로 점
[OSEN=이대선 기자] '2011 Cartier High Jewelry Diamond Collection'이 18일 오전 서울 한남동 그랜드 하얏트 서울에서 열렸다. 변정수가 행사장으로 이동하고 있다. /sunday@osen.co.kr
[OSEN=이혜진 기자] ‘여자 세븐’으로 각광 받고 있는 실력파 가수 메이다니가 아이돌 그룹의 멤버로 변신했다.메이다니는 18일 오전 11시 서울 압구정 CGV에서 열린 영화 '화이트 저주의 멜로디' 제작보고회에 참석해 영화에 대한 애정을 드러냈다.메이다니는
[OSEN=이혜진 기자] 대표 연기돌 함은정이 공포영화 주인공으로 변신했다.함은정은 18일 오전 11시 서울 압구정 CGV에서 열린 영화 '화이트 저주의 멜로디' 제작보고회에 참석해 자신이 출연한 영화 및 캐릭터에 대한 애정을 드러냈다. 함은정은 “뜨기 위해서라
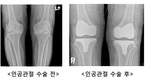
60세 이상 노년의 인구 80%가 겪고 있는 퇴행성관절염은 일평생 열심히 살아온 사람들의 숙명과도 같다. 쉬지 않고 움직이고 걷고 일해 온 탓에 무릎의 연골이 닳아버려 생기는 질환이기 때문이다. 관절염이 발전하면서 당연히 통증이 있었겠지만 치료를 미루고 미루다
아이브 장원영,'여신의 반전 뒤태'
박지현, 싱그러운 미소
한소희-전종서, 손 꼭 잡고 레드카펫 행진
임윤아,'강렬한 레드'
에스파 카리나, 앙증 맞은 고양이 [O! STAR]
키스오브라이프,’공항 런웨이’ [O! STAR]
"큰 거 있다" 유노윤호에게 ‘2’와 ‘6’이란? [O! STAR]
아름다운 무대 미연,’Say My Name’ [O! STAR]
드라마는 ‘스릴러’ 포토타임은 ‘훈훈’ 당신이 죽였다 제작발표회 [O! STAR]