[OSEN=민경훈 기자] 16일 오후 서울 양천구 목동 SBS 사옥에서 열린 SBS 새 수목드라마 '별에서 온 그대'(연출 장태유, 극본 박지은) 제작발표회, 전지현이 무대 앞으로 걸어나오고 있다. 이 자리에는 전지현 김수현 박해진 유인나 신
[OSEN=표재민 기자] “치고 올라갈 것으로 생각한다.”(이선균) MBC 새 수목드라마 ‘미스코리아’가 무려 김수현, 전지현이 출연하는 SBS 수목드라마 ‘별에서 온 그대’와 같은 날 같은 시각에 첫 방송을 한다. 첫 방송뿐만 아니
[OSEN=정유진 기자] 배우 김수현이 지식인 대학 강사 캐릭터가 실제 자신의 모습과달라 비교가 된다고 말하며 웃음을 자아냈다. 김수현은 16일 오후 2시 서울 목동 SBS 사옥에서 열린 SBS 새 수목드라마 ‘별에서 온 그대’(극본 박
[OSEN=스포츠부] '벨기에 신성' 아드낭 야누자이(18, 맨체스터 유나이티드)가 열애설에 휩싸였다. 상대는 무려 7세 연상의 영국 섹시스타 터리사 콘토스타블로스(25)로 알려졌다. 영국 스포츠매체인 기브미스포츠를 비롯, 복수의
[OSEN=표재민 기자] 배우 이기우가 연인 이청아를 공식석상에서 언급하자 연애를 하느냐고 깜짝 놀라하는 모습을 보였다. 이기우는 16일 오후 서울 강남구 논현동 파티오나인에서 열린 MBC 새 수목드라마 ‘미스코리아’ 제작발
[OSEN=민경훈 기자] 16일 오후 서울 양천구 목동 SBS 사옥에서 열린 SBS 새 수목드라마 '별에서 온 그대'(연출 장태유, 극본 박지은) 제작발표회, 전지현과 유인나가 포토타임을 갖고 있다. 이 자리에는 전지현 김수현 박해진 유인나
[OSEN=민경훈 기자] 16일 오후 서울 양천구 목동 SBS 사옥에서 열린 SBS 새 수목드라마 '별에서 온 그대'(연출 장태유, 극본 박지은) 제작발표회, 전지현이 무대 위에서 인사를 하고 있다. 이 자리에는 전지현 김수현 박해진 유인나
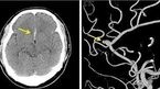
[OSEN=이슈팀] 뇌동맥류 환자가 급증하고 있다. 뇌동맥류 환자가 불과 5년사이에 3.2배나 급중하면서 누리꾼들 사이에서 화제가 되고 있다. 뇌동맥류 환자가 급증한 이유는 추운 날씨와 관련된 가운데 예방법도 동시에 화제다. 뇌
[OSEN=정유진 기자] 배우 전지현이 자신이 갖고 있던 신비주의 이미지에 대해 "배우 생활에 큰 벽이 되긴 했다"고 생각을 밝혔다. 전지현은 16일 오후 2시 서울 목동 SBS 사옥에서 열린 SBS 새 수목드라마 ‘별에서 온 그대’(극본 박
[OSEN=민경훈 기자] 16일 오후 서울 양천구 목동 SBS 사옥에서 열린 SBS 새 수목드라마 '별에서 온 그대'(연출 장태유, 극본 박지은) 제작발표회, 전지현이 자리로 향하고 있다. 이 자리에는 전지현 김수현 박해진 유인나 신성록이 참
[OSEN=정자랑기자]SPOTV가 e스포츠 방송을 시작한다.SPOTV GAMES의 방송 제작 및 사업을 전담하는 라우드 커뮤니케이션즈는 게임 전문 채널인 SPOTV GAMES가 28일 개국한다고 16일 밝혔다. SPOTV는 IPTV에서는 SPOTV와 SPOTV2, 위성과 케이블에
[OSEN=민경훈 기자] 16일 오후 서울 양천구 목동 SBS 사옥에서 열린 SBS 새 수목드라마 '별에서 온 그대'(연출 장태유, 극본 박지은) 제작발표회, 유인나와 박해진이 자리에 앉아서 얘기를 나누고 있다. 이 자리에는 전지현 김수현 박
[OSEN=김경주 기자] 장성규 JTBC 아나운서가 다이어트 선언을 한지 일주일만에 쏙 들어간 뱃살을 공개해 화제다. JTBC 측은 16일 오후 장성규 아나운서의 비포 앤 애프터 모습이 담긴 사진을 공개했다. 공개된 사진 속 장성규는 배
[OSEN=고유라 기자] 넥센 히어로즈가 송지만(40), 오재영(28), 유한준(32), 문성현(22)을 포함한 총 27명의 선수와 2014년 연봉 계약을 체결했다. 2013시즌 팀의 최고참 선수로 34경기에 출장해 51타수 14안타 8타점 6득점 타율 2할7푼5리를
[OSEN=권지영 기자] 시청자가 뽑은 최고의 KBS 프로그램상이 어떤 프로그램에 돌아갈지 관심을 모은다. 16일 KBS에 따르면, '개그콘서트', '불후의 명곡', '대국민 토크쇼 안녕하세요', '우리동네 예체능', '인간의 조건', '해피선데이'
[OSEN=민경훈 기자] 16일 오후 서울 양천구 목동 SBS 사옥에서 열린 SBS 새 수목드라마 '별에서 온 그대'(연출 장태유, 극본 박지은) 제작발표회, 스타 나눔 자선 경매에서 박해진과 김수현이 서로 바라보고 있다. 이 자리에는 전지현
[OSEN=표재민 기자] 배우 송선미가 숏컷으로 변신한 이유에 대해 변화를 주고 싶었다고 말했다. 송선미는 16일 오후 서울 강남구 논현동 파티오나인에서 열린 MBC 새 수목드라마 ‘미스코리아’ 제작발표회에서 숏컷으로 변신한
[OSEN=민경훈 기자] 16일 오후 서울 양천구 목동 SBS 사옥에서 열린 SBS 새 수목드라마 '별에서 온 그대'(연출 장태유, 극본 박지은) 제작발표회, 무대 위에서 김수현의 말에 전지현이 환하게 웃고 있다. 이 자리에는 전지현 김수현
프로미스나인 이채영, 사랑스러워
블랙핑크 지수,'볼륨치마라 착석이 어려워'
앤 해서웨이,'여신의 뒤태'
있지 유나, 섹시한 시구
‘케데헌’ 이재, “골든 저작권료? 엄마 선물 사드릴 듯”[O! STAR 숏폼]
장원영, 인간 체리 워뇨 (full) [O! STAR]
안지현 치어리더, 압도하는 '뱅뱅' 공연 [O! SPORTS 숏폼]
LG 차영현 치어리더, 팀장님의 아찔한 사복패션 공연 [O! SPORTS 숏폼]
LG 승요 강림 있지 유나, 시구 자체가 화보 컷 [O! SPORTS 숏폼]