[OSEN=김경주 기자] 배우 김래원 측이 영화 '강남블루스' 출연에 대해 세부 사항을 조율 중이라고 밝혔다. 김래원 소속사 HB엔터테인먼트 관계자는 16일 오전 OSEN과의 전화통화에서 "'강남블루스' 출연과 관련해 세부 사항을 조율
[OSEN=권지영 기자] KBS 2TV 수목드라마 ‘예쁜 남자’ 아이유와 이장우의 반전스틸이 공개돼 눈길을 끈다. 16일 공개된 사진 속에는 모닥불을 앞에 두고 이장우의 어깨에 살포시 기댄 아이유와 그의 머릿결을 매만져주는 이장우
[OSEN=김경주 기자] 그룹 버스커버스커의 장범준이 예쁜 가정을 꾸리겠다며 결혼을 발표한 심정을 밝혔다. 장범준은 16일 버스커버스커 공식 팬카페에 "안녕하세요 버스커버스커 장범준입니다"라는 제목의 글을 게재했다. 그는
[OSEN=우충원 기자] '거친 플레이'로 논란이 되고 있는 애런 헤인즈(SK)가 사과 기자회견을 연다. SK는 16일 "지난 14일 전주 KCC와 경기서 2쿼터 중반 비신사적 플레이를 펼친 헤인즈가 김민구와 KCC 그리고 KBL 팬들에게 사죄의 마음
[OSEN=권지영 기자] 배우 권율이 KBS 2TV 새 일일드라마 '천상여자' 첫 촬영을 마치고 소감을 전했다. 권율은 지난 13일 인천 강화에서 진행된 '천상여자'의 첫 촬영에서 철부지 재벌3세 주인공 '서지석'으로 분해 귀공자 느낌을 물씬
[OSEN=최은주 기자] KT가 16일 오전 8시부터 전국 올레매장과 올레닷컴에서 사전 예약 가입자 대상으로 '아이패드 에어' 및 '아이패드 미니 레티나'의 개통을 시작했다고 밝혔다. 서울 광화문 올레스퀘어에서 가장 먼저 줄을 서 아
[OSEN=선미경 기자] 배우 김정은이 태풍 하이옌으로 큰 피해를 입은 필리핀 이재민들에게 응원 메시지를 전했다. 16일 김정은의 소속사 왕엔터테인먼트에 따르면 김정은은 필리핀 최대 방송사인 ABS-CBN의 요청으로 이재민을 위로
[OSEN=김사라 인턴기자] 버스커버스커가 활동 중단을 발표한 가운데 안타까워하는 네티즌의 한숨이 늘어가고 있다. 버스커버스커 소속사 청춘뮤직은 16일 버스커버스커의 활동 중단을 발표하며, 공식 트위터를 통해 “김형태,
[OSEN=임승미 인턴기자] 가수 윤종신이 버스커버스커 장범준의 결혼소식을 듣고 축하를 보냈다. 윤종신은 16일 오전 자신의 트위터를 통해 "범준아 축하해..너 참 화끈하구나..예쁜 아이 낳고 멋지게 잘 살길"이라는 글로 장범준
[OSEN=김경주 기자] 영화 '아라비아의 로렌스'로 유명세를 탄 영국 배우 피터 오툴이 81세 나이로 세상을 떠났다. 지난 15일(현지시간) 미국 연예매체 피플은 "피터 오툴이 81세 나이로 사망했다"고 보도했다. 보도에 따르면 오툴은
[OSEN=선미경 기자] 걸그룹 티아라 출신의 화영이 웰메이드스타엠과 전속계약을 맺고 연기자 데뷔를 선언한 가운데, 가요계 컴백에 대해서는 "정해진 것이 없다"고 밝혔다. 화영의 소속사 웰메이드스타엠 관계자는 16일 OSEN과 전
[OSEN=최은주 기자] 포르쉐의 한국 공식 수입사 스투트가르트 스포츠카가 지원해 온 '드라이브 유어 드림' 발레 영재들이 13일과 14일 양일 경기광주문화스포츠센터에서 열린 서울발레시어터의 '호두까기인형' 무대에 올랐다. '드
[OSEN=우충원 기자] 남자 아이스하키 20세 이하 대표팀(U 20)이 일본 전지훈련을 통해 2014 주니어 세계선수권(20세 이하) 디비전 2 B그룹 대회를 대비한 전력 강화를 노린다. 오솔길(대한아이스하키협회 전임지도자), 김희우 감독(고
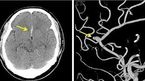
[OSEN=이슈팀] 뇌동맥류 환자가 급증해 장안의 화제가 되고 있다. 최근 날씨가 부쩍 추워지면서 뇌동맥류 등 뇌혈관질환으로 병원을 찾은 환자가 늘어난 사실이 발표되면서 누리꾼들의 관심이 쏠리고 있다. 뇌동맥류 환자 급증
[OSEN=이우찬 기자] 한국야구위원회(KBO)와 경찰청은 17일 오후 3시 30분 롯데호텔 3층 토파즈룸과 롯데월드 가든스테이지에서 아동 실종 예방을 위한 MOU 체결과 ‘우리 아이 지킴이 키트’ 홍보 행사를 개최한다. 이 날 행사는 오
[OSEN=김희선 기자] “두 개의 심장은 여전히 가동 중이다. 하나는 축구를 향한 열정이고, 또 하나는 그라운드 위에서 치열하게 쌓아왔던 경험이다. 이 두 개의 심장으로 인해 나의 도전은 계속된다.” 박지성은 나이키 풋볼의 전
[OSEN=인천공항, 우충원 기자] "구단의 공식 입장은 말하기 어렵습니다." 독일 분데스리가 바이엘 레버쿠젠에 임대 입단한 류승우(20)가 16일 인천공항을 통해 출국했다. 레버쿠젠은 손흥민(21)이 활약하고 있는 명문 클럽으로 축구
[OSEN=정유진 기자] 개봉을 앞둔초대형 블록버스터 영화 '엔더스 게임'(개빈 후드 감독)이 전설적인 원작을 바탕으로 한 탄탄한 스토리를 비롯, 역대 최고의 제작진이 선사하는 풍부한 볼거리로 올 연말 가족 관객들을 매료시킬
[OSEN=표재민 기자] MBC가 내년에 대학가요제를 부활한다. MBC 예능본부의 한 고위 관계자는 16일 오전 OSEN에 “내년에 대학가요제를 개최하기로 했다”면서 “대학가요제가 스타 양성소로서 기능을 하지 못했다는 판단 하에 폐지
[OSEN=이혜린 기자] 빅뱅의 지드래곤이 국내 가수 최초로 빌보드 연간차트에 이름을 올렸다. 지드래곤은 지난 13일빌보드가 발표한 ‘2013 이어 엔드 차트(YEAR END CHART)’ 중 월드 앨범 아티스트 연간 차트 9위에 랭크됐다. 국내 가
블랙핑크 지수,'볼륨치마라 착석이 어려워'
프로미스나인 이채영, 사랑스러워
있지 유나, 섹시한 시구
앤 해서웨이,'여신의 뒤태'
LG 승요 강림 있지 유나, 시구 자체가 화보 컷 [O! SPORTS 숏폼]
‘케데헌’ 이재, “골든 저작권료? 엄마 선물 사드릴 듯”[O! STAR 숏폼]
LG 차영현 치어리더, 팀장님의 아찔한 사복패션 공연 [O! SPORTS 숏폼]
장원영, 인간 체리 워뇨 (full) [O! STAR]
안지현 치어리더, 압도하는 '뱅뱅' 공연 [O! SPORTS 숏폼]