[OSEN=봉준영 기자] 네티즌들이 홀로서기에 가장 성공했다고 생각하는 원조 아이돌 스타로 가수 이효리를 꼽았다.커뮤니티 포털사이트 '디시인사이드(www.dcinside.com)'가 지난 13일부터 19일까지 “홀로서기에 가장 성공했다고 생각하는 원조 아이
우주만물의 모든 현상에는 명확한 중심이 있으며, 생명의 가장 분명한 잣대는 숨이다.사람은 단 한순간도 숨을 쉬지 않고는 살아갈 수 없는 존재이며, 어떤 숨을 쉬는가에 따라서 노화의 과정이나 질병이 다양한 증상으로 나타난다.숨을 쉬는 코가 사람의 신체중에서도
A씨는 20여년에 이르는 혼인기간 동안 배우자와 7년은 식사도 하지 않고, 수입도 각자 관리하며 대화 없이 남남처럼 살던 중 배우자와 재산분할을 하고 3년간 별거생활을 하였다. 이러한 상황에도 A씨는 배우자의 거부로 이혼을 할 수 없어 이혼
TV속에서 여배우들의 눈부신 미소는 보는 사람의 기분도 좋게 만든다. 이런 미소를 가지려면 여러 가지 조건이 필요한데 그것이 바로 스마일라인 3법칙이다. 미소가 예쁜 배우 신민아, 한예슬을 보자. 가지런한 치열이 이루는 곡선, 적당히 보이는 윗니와 잇몸, 그리
동신교육재단 개교기념식이 지난 5월 18일 여주대 용마체육관에서 열렸다. 이번 개교기념식은 여주대 개교 17주년과 여주고등학교 개교 36주년, 여주대 부속유치원 개원 10주년을 기념해 열렸고, 6천명의 여주대 학생과 정태경 동신교육재단 이사장과 이기창 총장, 정
최고의 자리까지 오르기는 누구보다 힘들지만 한 번 정상에 오르면 엄청난 인기와 부를 얻을 수 있는 직업 연예인. 때문에 오늘도 수 많은 사람들이 연예인을 꿈꾸며 피나는 노력을 하고 있다. 연예인으로 성공하기 위해 많은 조건들이 필요하지만 그 중 가장 중요한 부
[OSEN= 해리슨의 엔터~뷰(Enter~View)] 최근 몇 년 사이 공연업계에는 확실한 컨셉(Concept)과 기획력을 중심으로 만들어진 콘서트들이 주류를 이루고 있다. 국내외를 막론하고 흥행을 확실히 보장할 수 있는 아티스트가 그리 많지 않고, 대규모 단
[OSEN=이명주 기자] 아이돌의 축구 도전기를 다룬 케이블 채널 MTV ‘아이돌 유나이티드’가 오는 22일 밤 첫 전파를 탄다. ‘아이돌 유나이티드’ 첫 회에는 난리법석 창단식과 흡사 ‘노예 계약서’와도 같은 재치 있는 계약서 작성기, 즉석에서 선수
[OSEN=이명주 기자] 20대가 원하는 해외-국내 가수 콜래보레이션은 레이디 가가와 이효리였다. 오늘(20일) 발간된 월간지 ‘COLA’는 20대 남녀를 대상으로 ‘콜래보레이션 하면 서로 윈윈할 것 같은 국내 가수와 해외 가수는’이라는 이색 설문조사를
최근 들어 짧은 커트 머리를 연출하는 연예인들이 늘어나면서 남성들의 오랜 로망이었던 긴 생머리 대신 중성적인 느낌의 커트 헤어가 대세로 자리 잡았다. 커트는 새로운 이미지를 형성하는데 도움이 될 뿐만 아니라 패션에 있어 짧고 강렬한 커트 헤어가 스타일을 만
드디어 뜨거운 햇볕과 함께 여름이 코앞으로 다가오고 있다. 여름하면 가장 먼저 떠오르는 것은 해변, 비키니, 과도한 노출, 휴가철, 여행 등이 있을 것이다. 그 중에서도 여성들이 가장 기대하고 있는 것을 꼽자면 비키니를 입고 해변을 활보하며 S라인 몸매를 과시하
<지난 10일, 중국법인 10주년 기념식 성황리 개최> 장수돌침대가 글로벌화를 위해 본격적인 시동에 들어갔다. 지난 10일, 중국법인 및 공장설립 10주년 기념식을 갖고 우리나라의 앞선 온돌문화를 중국 전역에 뿌리내리기 위해 2020년까지 중국 전역
[건강칼럼] 우리 몸의 관절은 연골이나 인대, 힘줄, 근육 등으로 이뤄져 있으며 뼈와 뼈가 맞닿아 움직이게 하는 역할을 한다. 관절에 손상이 생기면 실질적으로 걷고 움직이는데 큰 어려움이 뒤따르는 것은 물론이다.그런데 이러한 관절에 탈이 났다면 어떤 병원에 가
[OSEN=황민국 기자] "2006 독일 월드컵과는 사정이 다르다".수원 삼성의 차범근 감독이 2010 남아공 월드컵에서 중계 마이크를 잡을 생각은 없다고 밝혔다. 차범근 감독은 20일 서울 소공동 롯데호텔에서 열린 기자 간담회에서 사임 의사를 밝혔다. 올 시즌 수원이
[OSEN=황민국 기자] 수원 삼성의 안기헌 단장이 차범근 감독의 중도 사임으로 생긴 공백을 메우기 위해 최선을 다하겠다는 입장을 밝혔다. 차범근 감독은 20일 서울 소공동 롯데호텔에서 열린 기자 간담회에서 "6월 6일까지만 수원을 이끌고 그 이후에는 잠시 쉬고
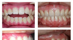
비뚤게 난 치아, 벌어진 치아, 돌출 된 치아 등으로 대표되는 부정교합은 우리나라 인구 중 70~80%에게서 나타난다. 특히 섬유질이 풍부한 질긴 전통음식보다는 패스트푸드와 같은 부드러운 식품을 선호하는 학생들에게서 부정교합 비율이 점점 증가하고 있다.실제로 식
“결과를 말해 줄 수 있는 업체만이 자신감 있게 창업을 가이드 할 수 있다고 생각 합니다” 청소대행업을 창업하시는 분들은 대게 업체에 지사가맹을 하고 교육, 장비 제공을 받고 청소대행업을 시작한다. 그러나 오더창출에 문제가 있어 대부분 업체로부터 오더를 받
[OSEN=손찬익 기자] 한국야구위원회(총재 유영구)는 야구저변 확대와 선수들의 경기력 향상을 위해 오는 25일부터 30일까지 강진 베이스볼파크에서 퓨처스리그 인터리그를 개최한다.이번 인터리그는 전남 강진군에 위치한 강진 베이스볼파크에서 6일간 총 24경기가
[OSEN=박준형 기자]배우 이인혜의 '꿈이 무엇이든 공부가 기본이다" 출간 기념회가 20일 오후 낮 서울 혜화동 대학로 한 갤러리에서 진행됐다.이인혜는 지난 6개월간 공부비법책을 준비해 왔으며, 이날 자신의 경험을 살린 공부 노하우를 공개했다.현재 대학 교수
[OSEN=황민국 기자] 수원 삼성의 차범근 감독이 시즌 도중에 물러나겠다는 폭탄 발언을 했다. 차범근 감독은 20일 서울 소공동 롯데호텔에서 열린 기자간담회에서 "6월 6일까지만 수원을 이끌고 그 이후에는 잠시 쉬고 싶다"는 의지를 밝혔다. 차범근 감독이 사임을
오드유스 써머, 핫팬츠 아찔 시구
있지 유나, 섹시한 시구
레드벨벳 조이, 힘차게 시구
프로미스나인 이채영, 사랑스러워
‘케데헌’ 이재, “골든 저작권료? 엄마 선물 사드릴 듯”[O! STAR 숏폼]
LG 승요 강림 있지 유나, 시구 자체가 화보 컷 [O! SPORTS 숏폼]
안지현 치어리더, 압도하는 '뱅뱅' 공연 [O! SPORTS 숏폼]
LG 차영현 치어리더, 팀장님의 아찔한 사복패션 공연 [O! SPORTS 숏폼]
장원영, 인간 체리 워뇨 (full) [O! STAR]