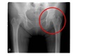
잦은 음주를 하는 회사원 A씨는 언제부턴가 엉덩이와 허리에 자주 통증을 느꼈다. 특히 맨 바닥에 오래 앉아 있거나 양반다리를 할 경우에 사타구니 부위의 통증이 심해져 의자가 없이는 생활하기 힘들 정도였다. 허리와 엉덩이 부위의 통증이 심해 혹시 디스크가 아닐
[OSEN=윤가이 기자] '가시나무새’의 한혜진-주상욱 커플이 14일 발렌타인데이에 맞춰 ‘토끼굴 그래피티’ 첫 데이트 현장을 전격 공개했다. 오는 3월 2일 첫 방송되는 KBS 2TV 새 수목드라마 ‘가시나무새’(극본 이선희, 연출 김종창/제작 GnG 프로덕션)
[OSEN=최나영 기자] 가수 겸 음반 프로듀서 박진영이 작곡한 KBS 2TV '드림하이'의 OST '섬데이'의 표절논란이 법정 분쟁으로 이어질 상황에 놓였다.'섬데이'에 표절 논란을 제기한 지난 2005년 발매된 애쉬의 '내 남자에게'의 작곡가 김신일의 소속사 GP
[OSEN=이지영 기자] 한지혜, 김경진, 김기방 등 MBC 월화극 '짝패'의 출연진들이 인터넷 SNS를 통해 공개한 현장 사진들이 연일 화제가 되고 있다. 극 중 '동녀' 역을 맡은 한지혜는 지난 1월 13일 페이스북을 통해 캐릭터로 분한 모습을 공개해&nb
[OSEN=봉준영 기자] 연기자들이 뽑은 최고 배우로 꼽히는 이순재가 연기 잘하는 후배로 ‘김명민’을 꼽았다.이순재는 영화 ‘그대를 사랑합니다’ 개봉을 앞두고 가진 인터뷰에서 연기에 대한 소신과 후배 연기자들에 대한 애정을 드러냈다.‘그대를 사랑합니다’
[OSEN=이정아 기자]최근 수사를 주제로 한 SBS 수목드라마 ‘싸인’과 영화 ‘조선명탐정’이 동시에 인기를 끌고 있어 화제다. 드라마 ‘싸인’의 시청률이 20%를 돌파하고 영화 ‘조선명탐정’ 관객수가 300만명을 돌파하면서 브라운관과 스크린에서 수사(搜査
[전문병원탐방] 강남 피부과 추천, 피부미용성형 황규광 세련피부과 원장'피부미용성형 국내 1인자' '15년 전 대한미용피부외과학회를 설립한 주인공.' 이화여대 의대 동대문병원 피부과 주임교수 및 피부성형센터 소장을 지내며 명성을 날렸던 황규광 원장을 따라다니
[OSEN=고치, 강필주 기자]"몸매도 잘 빠졌잖아".매번 어두운 시즌 전망을 내놓는 김성근(69) SK 와이번스 감독이다. 하지만 고졸 신인 정진기(19)만 보면 슬쩍 미소가 나온다. 김 감독은 마무리 캠프 때부터 정진기이 이름을 거론해왔다. 한마디로 "정말 재미있는
[OSEN=부산, 허종호 기자] "올해가 정말 중요한 해라고 생각한다. 부산도 그렇지만 올림픽 대표팀에서도 뛰어야 하기 때문이다".지난해 광저우 아시안게임 아랍에미리트연합(UAE)과 준결승에서 이범영(22, 부산)은 경기 종료 직전 그라운드에 투입됐다.
[OSEN=조경이 기자] 배우 안용준이 영화 ‘킹콩을 들다’ 이후 2년만에 영화 ‘체포왕’으로 스크린에 돌아온다. 영화 ‘체포왕’(감독 임찬익, 제작 씨네2000)’은 연쇄 강간범인 ‘발바리 사건’을 모티브로 한 작품으로 두 명의 형사가 범인을 잡아 체포왕이 되
[OSEN=이지영 기자] 배우 박하선이 세계적인 코스메틱 브랜드의 모델로 발탁되며 화보 촬영을 가졌다. 관계자는 "MBC 드라마 '동이'에서 인현왕후로 출연하며 '단아인현'이라는 별명을 얻을 정도로 인기를 모은 박하선은 단아하면서도 우
[OSEN=최나영 기자] 그룹 빅뱅이 2년여만에 '미니앨범'으로 컴백한다.14일 YG 공식 블로그에는 빅뱅의 새 앨범 티저이미지와 함께 '2011.02.24'라는 빅뱅의 컴백날짜, '4TH MINI ALBUM RELEASE'라는 문구가 험께 실렸다.이로써 빅뱅은 '미니앨
[OSEN=대전, 전성민 기자] 현대캐피탈이 삼성화재에 반드시 이겨야겠다는 선수들의 정신력과 강해진 서브를 앞세워 승리를 거뒀다.현대캐피탈은 지난 13일 대전 충무체육관서 열린 NH농협 2010-2011 V리그 4라운드 경기서 주포 문성민의 활약과 한상길의 깜짝 선
-잘못된 생활습관이 요실금 악화시켜 여성질환 중 가장 흔한 질환인 요실금은 요즘과 같이 날씨가 추운 겨울철에 더욱 심해진다. 이는 기침과 재채기가 늘어나면서 방광을 자극하여 더욱 악화될 뿐 아니라 다른 계절보다 땀 분비가 줄어들어 자연히 소변량이
-전신마취, 절개 등 부담 없어 인기사람들에게 있어서 아름다운 외모를 소유하고 싶은 욕망은 나이에 상관없이 언제나 큰 관심거리이다. 때론 TV나 잡지에 비춰진 연예인들과 자신의 모습을 비교하면서 한없이 작아지기도 한다. 다양한 매체들로 인해 미에 대한 관심
[OSEN=이지영 기자] 배우 소지섭이 '옴므파탈' 힙합 가이로 변신한 모습을 전격 공개했다.힙합 래퍼로 깜짝 변신한 소지섭이 힙합 '픽 업 라인'의 음원과 뮤직비디오 공개에 앞서 14일 티저영상 2탄을 공식홈페이지와 엠넷을 통해 공개하는 것.지난 10일 선보여 폭
-함몰음경 뿐만 아니라 발기부전도 야기하는 복부비만근래 들어서 식습관이 서구화되면서 햄버거나 피자 등 고칼로리 음식을 섭취하여 비만이 되는 사람들이 늘고 있다. 산업발달로 인해 생활이 윤택해지면서 신체를 움직이지 않고도 대부분의 일상생
[OSEN=윤가이 기자] 한국형 정통 수사물 KBS 2TV 새 월화드라마 '강력반'에서 다혈질에 불의를 보면 참지 못하는 형사 ‘빡세’ 송일국이 폭풍 오열 연기를 선보였다.지난 10일 수원 촬영장에서 송일국은 극중 캐릭터 ‘박세혁’이 형사가 되기로 결심한 결정
-목을 항상 보호해 줘야연일 매서운 한파가 지속되면서 척추 전문 병원마다 목과 어깨의 통증을 호소하는 목 디스크 환자들이 급격히 늘고 있다고 한다. 금천구에 위치한 척추전문 희명병원(이사장 최백희) 신경외과 전문의 진료부장 김정철 박사는 “요즘과 같이 추
-요통, 다리방사통에 효과가 커금천구에 사는 직장인 김모(32.여)씨는 바닥에 떨어진 볼펜을 줍기 위해 상체를 굽혔다 펴는 순간허리에서 찌릿하는 느낌과 함께 날카로운 통증이 밀려왔다. 갑작스럽게 밀려오는 통증에 덜컥 겁이 난 김씨는 다음날 척추전문병원을 찾았
아이브 장원영,'여신의 반전 뒤태'
임윤아,'강렬한 레드'
박지현, 싱그러운 미소
한소희-전종서, 손 꼭 잡고 레드카펫 행진
가을 나들이 나온 있지 포착[O! STAR 숏폼]
에스파 카리나, 넘사벽 비주얼 [O! STAR 숏폼]
젠슨 황 샤라웃 받은 르세라핌 무대[O! STAR 숏폼]
이주은 야구 대표팀 치어리더, 체코 전통 의상 입고 상큼 공연 [O! SPORTS 숏폼]
골프 세리머니 이청용, 신태용 감독 저격??? [O! SPORTS 숏폼]