[OSEN=윤가이 기자] 폐지 소식이 전해진 '천무단'이 지난해에 이어 '제2회 골병든 글러브' 시상식을 개최하고 25일 종영한다. KBS 2TV 토요 버라이어티 '천하무적야구단'(이하 천무단) 최재형 PD는 8일 OSEN에 "오는 25일, 마막 방송을 내보낸
어느 덧 기온이 영하로 떨어지고 한 겨울이 시작되었다. 겨울하면 연말연시 분위기에 설레는 사람도 있겠지만 겨울만 되면 걱정이 더하는 사람들도 있다. 바로 탈모가 진행되고 있는 사람들이다. 겨울에는 전반적으로 피부가 건조해지는데 두피 역시 마찬가지다. 게다가
[OSEN=최나영 기자]한류스타 SS501 김형준과 엠넷 '슈퍼스타 K'의 히로인 김소정의 녹음실 달달 영상이 공개됐다. 엠군미디어(www.mgoon.com)을 통해 독점 선공개된 이 영상은 로맨틱 뮤지컬 ‘카페인’의 OST인 'LOVE IS' 녹음
[OSEN=이정아 기자]김혜수가 숏컷이 가장 잘 어울리는 여자 스타로 뽑혔다. 최근 이지데이의 TV연예, 설문/비교 코너에서 11월 26일부터 12월 5일까지 10일간 진행된 ‘숏컷 헤어스타일이 가장 잘 어울리는 여자 연예인은 누구인가요?’라는 설문에서&n
[OSEN=고용준 기자] 올해 인기를 누린 온라인게임 장르로 스포츠게임을 빼놓을 수 없다. 상반기 ‘프로야구 매니저’를 시작으로 ‘피파온라인2’, 그리고 최근 ‘프리스타일 풋볼’에 이르기까지 스포츠장르가 어느 때보다 주목을 받았던 한 해다. 본격 겨울시장을
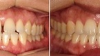
결혼을 앞둔 K양은 웨딩 촬영을 앞두고 여간 앞니 사이의 공간이 신경 쓰이는 것이 아니다. 전통적으로 앞니 사이가 벌어지면 복이 샌다는 믿음 때문에 혹시 시댁에서 싫어하지 않을까 하는 걱정과 본인 스스로도 심미적으로 마음에 들지 않기 때문이다. 그
차도녀(차가운 도시 여자), 까도남(까칠하고 도도한 남자), 꼬픈남(꼬시고 싶은 남자) 등 새로운 신조어가 급부상하는 가운데 '따도녀'가 대세를 이루고 있어 주목된다.따도녀란 '따뜻한 도시 여자'의 줄임말로 차도녀와는 반대의 의미다. 최근 드라마에서 맹활약을 펼
[OSEN=최나영 기자] 가수 박재범이 국가대표 장애인 선수단을 향한 열띤 응원을 전했다. 지난 8일, '2010 광저우 장애인아시아경기대회'에 참가하는 국가대표 장애인 선수단을 인천공항에서 직접 만나, 선전을 기원한 것. 박재범은 태국, 말레이시아, 인도네시아 등
캐나다 이민국(CIC)은 캐나다 연방 및 퀘벡투자이민 프로그램을 12월 1일부터 재개 했다.대다수 캐나다 투자이민을 고려하는 가정은 캐나다의 우수한 교육환경과 무료 의료서비스 등의 선진형 복지제도에 관심이 높다. 특히 기존에 유학을 보낸 자녀들이 우
[OSEN=이정아 기자]2PM 택연이 이청아를 위해 하루를 보필하고 싶다는 속마음을 내비쳤다. 택연은 9일 방송되는 MBC '여우의 집사'에서 같은 멤버 우영과 함께 집사로 출연해 무대 의상과는 또 다른 늠름한 턱시도를 입고 멋진 집사로서 변신을 해 모두들 놀라
-다양한 선물과 혜택 풍성~ 크루즈 여행만의 매력 누릴 수 있어로얄캐리비안 크루즈가 오는 15일까지 2011년 한중일 크루즈를 예약하는 고객을 대상으로 조기예약 프로모션을 진행한다. 이번 프로모션은 기간 내에 로얄캐리비안 크루즈 레전드호 한중일 크루즈 일정을
[OSEN=박광민 기자]LG 트윈스가 공들였던 외국인 투수 후보 크리스 옥스프링(33)을 잃었다. 미국프로야구(MLB) 엠엘비닷컴(MLB.com) 디트로이트 타이거즈 담당 기자인 제이슨 벡은 9일(이하 한국시간) 자신의 트위터(인터넷 단문 메시지)에 "디트로이트
[데일리웨프/OSEN=김윤선 기자] 최근 군대 제대 이후 예능프로그램에서 종횡무진하고 있는 H.O.T 전 멤버 토니안과 소셜 커머스 쇼핑몰로, 사업가 변신에 성공한 개그맨 장동민이 올 겨울 불우이웃 돕기 성금마련을 위한 독특한 프로젝트를 발표했다.▲토니안의
[OSEN=윤가이 기자] 90년대 청순가련의 아이콘 강수지가 MBC 드라마넷 토크쇼 '미인도'에서 첫 사랑을 놓쳤던 과거에 대한 아쉬움을 털어 놓았다.사전 녹화에 참여한 강수지는 "첫사랑은 미국으로 이민 가서 고등학교 시절 만난 대
[데일리웨프/OSEN=김윤선 기자] 만남과 파티가 많은 12월. 각종 모임이 잦아지면서 옷차림에 신경 쓸 일이 많아졌다. 본격적으로 눈 내리는 계절 그렇다고 방안에만 있을 수는 없는 노릇. 보람차고 신나는 연말을 위해 스타일 제대로 살리고 ‘눈의 여왕’이 되어보
[OSEN=고용준 기자] 전세계 가장 인기 게임 '월드 오브 워크래프트'가 세 번째 확장팩인 '대격변'을 출시했다. 블리자드 엔터테인먼트는 9일 자사의 가입자 기반 다중 접속 온라인 역할수행 게임 월드 오브 워크래프트: 대격변을 한국을 포함한 대만, 홍콩, 마카오
[OSEN=허종호 기자] '박선생' 박주영(25, AS 모나코)이 AS 모나코 구단이 선정한 11월 MVP(최우수 선수)로 선정됐다.모나코는 9일(이하 한국시간) 구단 공식 홈페이지를 통해 박주영이 월간 MVP로 선정됐다고 알렸다. 박주영은 구단 홈페이지를
[데일리웨프/OSEN=정현혜 기자] 결혼대백과 웨프는 10일 웨딩포털 최초로 지역 문화뉴스코너인 ‘지역뉴스’를 정식 개설했다. ‘지역뉴스’는 전국을 경기, 경남, 경북, 충청, 강원, 호남 등 6개 권역으로 나눠 각 지역에서 올라오는 지역 뉴스를 뉴스 이용자가 위
[OSEN=이혜린 기자] 2PM이 일본 첫 쇼케이스에서 2만5천여명을 동원, 한국 아티스트 데뷔 공연 최다 관객 수를 기록했다. 2PM이 지난 8일 오후 2시와 5시, 8시 총 3회에 걸쳐 도쿄 양국국기관에서 ‘2PM 퍼스트 컨택 인 재팬’ 쇼케이스를 열고
[데일리웨프/OSEN=정현혜 기자] 스마트폰 유저가 600만명에 육박함에 따라 QR코드를 활용한 마케팅 기법이 늘고 있다. QR코드란 'Quick Response(빠른응답)’의 약자로 기존에 사용했던 바코드보다 많은 데이터를 저장할 수 있다. 그렇기에 제품에
아이브 장원영,'여신의 반전 뒤태'
한소희-전종서, 손 꼭 잡고 레드카펫 행진
박지현, 싱그러운 미소
임윤아,'강렬한 레드'
가을 나들이 나온 있지 포착[O! STAR 숏폼]
에스파 카리나, 넘사벽 비주얼 [O! STAR 숏폼]
골프 세리머니 이청용, 신태용 감독 저격??? [O! SPORTS 숏폼]
젠슨 황 샤라웃 받은 르세라핌 무대[O! STAR 숏폼]
이주은 야구 대표팀 치어리더, 체코 전통 의상 입고 상큼 공연 [O! SPORTS 숏폼]