▶소울메이트투어 싱글상품[이브닝신문/OSEN=김미경 기자] 올 가을 쓸쓸히 떨어지는 낙엽을 홀로 봐야 하는 솔로들에게 희소식이 생겼다. 소울메이트투어(www.soulmatetour.co.kr)에서는 올 가을 미혼 남녀를 대상으로 그들만의 1박2일 프로
부산국제광고 파이널명단[이브닝신문/OSEN=심승수 기자] 국내 소비자금융 No.1 브랜드인 러시앤캐시의 무과장 TV CF가 부산국제광고제 파이낸스의 서비스 부문에서 파이널리스트에 선정됐다. 이번 파이널리스트에 선정된 무과장 캠페인은 회사에서 부하여
명칭‧기능‧사용예약 등참가자 추첨 상품 지급[이브닝신문/OSEN=심승수 기자] 한국금융지주 자회사인 한국투자증권은 새로운 HTS의 출시를 고객들에게 미리 알리고 다양한 경품을 제공하는 프리런칭 이벤트를 지난 6일부터 시행했다. 10월경 만나
팍스 2010서 눈도장, 전작과 재미 차별화MMO 새 방향 제시, 개별 스토리도 강조[이브닝신문/OSEN=최승진 기자] “1편이 한 차원 발전된 것 같아요” (크리스토퍼‧24세) “벌써 이 게임에 빠져든 기분이에요” (엘리사‧28세) 지난 3~4일(현지시간)
[OSEN=전성민 기자] 아킬레스건 부상에서 회복해 복귀를 앞둔 데이빗 베컴(35, LA 갤럭시) 이 잉글랜드 대표팀 복귀에 대해 파비오 카펠로(64)감독과 나눈 이야기를 공개했다. 베컴은 10일(이하 한국시간) 스카이 스포츠
[OSEN=이정아 기자]원투 송호범과 그의 아내 백승혜가 부부싸움 중 응급실에 갔던 사연을 공개해 눈길을 모았다. 백승혜는 10일 방송되는 SBS '자기야'에서 미모와 재치 있는 입담을 과시했다. 그녀는 '너 때문에 내가 아파’라는 주제로 이야
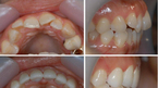
대학생 이영미(22)씨는 각진 턱과 커다란 얼굴이 콤플렉스다. 날씨가 더운 한여름에도 머리를 항상 길게 늘어뜨려야만 하고 옷을 입을 때도 어떻게 하면 얼굴이 작아 보일지를 고민하게 된다. 콤플렉스가 점점 심각해지자 성형수술까지 생각하게 됐다. 하지만
[OSEN=이혜린 기자]필리핀에 체류 중인 방송인 신정환을 만나러 매니저 A씨가 지난9일 필리핀으로 출국한 가운데, 두 사람이 이번 주말 중으로 입국할 것인지 관심이 고조되고 있다. 연예가에서는 신정환이 적어도 오는 12일에는 한국
[OSEN=이명주 기자] 최강 백수 방태식이 취업을 위해 부탄인 방가로 변신한 후 겪게 되는 좌충우돌 코믹 분투기 ‘방가?방가!’에서 스크린 첫 주연을 맡은 배우 김인권의 활약상이 눈부시다. 코믹 폭소탄을 터트릴 그의 웃지못할 촬영 굴욕 비하인드가 공개됐다.굴
[OSEN=이혜린 기자] 지난 9일 동방신기의 유노윤호가 용산 용극장에서 뮤지컬 '궁'의 첫 공연을 펼친 현장에 팬들의 축하 '쌀 화환'이 무려 3.1톤이나 도착했다. 소속사 SM엔터테인먼트의 한 관계자는 "한국을 비롯해 일본, 중국 등의 팬사이트, 팬클럽
[OSEN=경산, 손찬익 기자] '난공불락' 오승환(28, 삼성 투수)이 복귀를 위한 힘찬 발걸음을 내딛었다. 지난 7월 12일 건국대병원에서 박진영 교수의 집도로 오른쪽 팔꿈치에서 웃자린 뼈조각을 제거하는 수술을 받은 오승환은 현재 80m 롱토스와 네트 스로잉을 소
지난 7월 개최된 2010 경기미스코리아대회에서 당당하게 ‘미스 본에스티스’를 수상한 김정은에 대한 관심이 높다. 미인대회에서의 입상뿐만 아니라 현재 이화여자대학교 로스쿨에 다니는 재원이기도 하기 때문이다. 김정은은 1987년생으로 이화여대 법학과를
중년여성 B씨는 최근 일시적인 손 저림이 아닌 팔에서부터 손가락 끝까지 감각이 둔해지거나 저림 증상이 나타나기 시작했다. 검사를 해봐도 정확한 원인이 나오지 않았고 혈액순환에 좋다는 각종 약과 치료를 받았다. 우연히 이러한 증상이 목 디스크일 수 도 있다는
▶氣마사지명상으로 부부 애정지수, 연휴 후유증 둘다 잡는다 '단 월드' 잠실센터(서울 송파구)는 대 명절인 추석을 앞두고 <추석맞이 부부를 위한 사랑의 氣마사지>라는 테마로 건강한 명절을 준비하고 명절 증후군을 효과적으로 해소할 수 있는 무료체험
입체적인 사람의 얼굴은 어떤 각도에서 보느냐에 따라 전체적인 인상이 매우 크게 바뀐다. 그렇다면 이 중에서도 가장 여성스러움을 어필할 수 있는 각도는 무엇일까. 가장 여성스러우면서도 분위기 있는 얼굴은 바로 옆모습이다. 많은 이들이 무언가에 열중하고 있는
[OSEN=이혜린 기자] '제2의 다니엘 헤니'로 주목받고 있는 배우 션 리차드가 SBS '아테나'에 출연한다고 제작사 측이 밝혔다. 제작사에 따르면 지난5월 SBS '제중원'에서 의료선교사 알렌으로 출연반 하있는 션 리차드는 '아테나'에서 극
멀리 있는 간판의 시력이 안 보일 때 우리는 흔히 시력이 떨어졌다고 말한다. 이는 근시로 안경을 끼고 있는 젊은 세대에서 많이 볼 수 있다. 이와 반대로 가까이 있는 글씨가 안 보여서 돋보기라고 불리는 볼록렌즈 안경을 끼는 사람도 있는데 이는 원시로 주로 노안이
[OSEN=이혜린 기자] 원투와 낯선, 프로듀서 이-트라이브(E-TRIBE) 등이 소속돼 있는 '해피페이스 엔터테인먼트'가 오늘(10일) 자정 각종 온라인 음악 사이트 등을 통해 '해페트레인 뉴 아티스트 프로젝트'의 두번째 앨범인 '산체스 - 상 뜨와(San
△ 한 개그맨의 회상친구와 함께 개그맨 공채 시험에 도전한 A. 심사위원의 눈에 들려고 다양하게 준비했지만 지금 생각해보면 크게 특별한 것은 하지 않았다고 한다. 그런데도 심사위원은 친구를 단박에 탈락시키고 A에게 결국 최종합격의 영광을 주었다. 개그맨 공
2달 전 회사에서 권고사직을 받은 김은정 양은 하루하루를 분노와 우울, 그리고 불면증으로 고통스러운 나날을 보내고 있었습니다. 직장상사와 성격이 잘 맞지 않아 미운 털이 박힌 김은정 양은 급기야 회사사정이 어려워지자 권고사직을 제안을 받았고 사직 후 사람
한소희-전종서, 손 꼭 잡고 레드카펫 행진
박지현, 싱그러운 미소
아이브 장원영,'여신의 반전 뒤태'
임윤아,'강렬한 레드'
이주은 야구 대표팀 치어리더, 체코 전통 의상 입고 상큼 공연 [O! SPORTS 숏폼]
골프 세리머니 이청용, 신태용 감독 저격??? [O! SPORTS 숏폼]
에스파 카리나, 넘사벽 비주얼 [O! STAR 숏폼]
젠슨 황 샤라웃 받은 르세라핌 무대[O! STAR 숏폼]
가을 나들이 나온 있지 포착[O! STAR 숏폼]