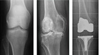
서울 송파구에 사는 75세 A 할머니는 최근 무릎이 붓고 아파서 괴로운 날이 많아졌다. 친구들과 외출을 다니는 것도 힘들고, 귀여운 손주들과 같이 노는 것도 부담스럽기만 하다. 지병인 고혈압, 당뇨 때문에 규칙적인 운동을 하는 것이 중요하지만 무릎이 아파서 제대
[OSEN=이지영 기자] MBC 수목극 '마이 프린세스'의 '안구정화 커플' 송승헌-김태희가 밀월여행을 떠난 별장에서 알콩달콩한 시간을 보낼 예정이다. 12일 '마이 프린세스' 미투데이에는 두 사람의 별장신 촬영 사진과 함께 '자고로 남녀간에 장작불 앞에
[건강이 최고] 인공치아 치료는 환자가 가지고 있는 상태에 따라 치료기간이 달라진다. 보통 타이타늄으로 만들어지는 인공치아는 수술을 통해 턱뼈로 이식되고 6∼36주 후 음식을 씹는 힘에 견딜 수 있도록 충분한 강도로 뼈와 붙는다. 원래 단단한 턱뼈
- 돈 좀 법시다(여의도 트위터) 솔라셀 전문 생산업체인 신성홀딩스는 최근 부진한 실적을 발표했다. 4분기 실적이 전분기 실적을 밑돌았고, 1분기 실적도 더욱 악화될 것으로 전망했다. 이에 따라 실적 발표 이후 주가는 10% 이상 하락하는 모습을 보이고 있다. 하
- 신상 뜯어보기(LG ‘엑스노트 P210’) [이브닝신문/OSEN=고진우 얼리어답터] 애플의 맥북에어가 처음 공개되었을 때 많은 사람들은 경악했다. 여러 가지 이유가 있겠지만 가장 두꺼운 부분이 USB포트와 비슷할 정도로 얇았기 때문이다. 이 때문에 큰 이
[OSEN=최나영 기자] '트렌드 종결자' 세계적인 팝스타 레이디 가가의 신곡 'Born This Way'가 전세계 차트를 뜨겁게 달구고 있다.지난 주말 전세계에 공개된 신곡 'Born This Way'는 발매와 동시에 전세계 23개국 아이튠즈 차트에서
[이브닝신문/OSEN=김중기 기자] 삼성화재 다이렉트 ‘마이애니카’가 론칭 3년째를 맞아 온라인 이벤트를 진행 중이다. 오는 3월2일까지 계속되는 이번 행사는 마이애니카 이벤트 페이지(www.myanycar.com/birthday)에 축하 메시지를 댓
[이브닝신문/OSEN=김중기 기자] 동아오츠카는 지난 13일 배우 문채원의 팬미팅에 ‘블랙빈테라티’ 등의 음료를 협찬했다고 14일 밝혔다. 블랙빈테라티는 중국산 검은콩보다 3배 비싼 국내산 검은콩을 그대로 볶아 만든 건강 음료다. 동아오츠카 관계자는 "포카
일본‧국내선 등…동남아 왕복권 20∼30만원대[이브닝신문/OSEN=김중기 기자] 제주항공은 일본 정기노선 취항 2주년을 기념해 3월 한 달간 일본, 동남아 및 국내선 이벤트를 펼친다. 먼저 일본 노선 일부 편에 한해 항공권 1+1 이벤트를 진행한다. 오사카(
[이브닝신문/OSEN=김중기 기자] 니콘이미징코리아는 빅뱅 콘서트(25~27일) 티켓 증정 행사를 오는 20일까지 실시한다. 기종에 상관없이 니콘 정품 등록을 마친 고객이면 누구나 응모할 수 있다. 홈페이지(www.nikon-image.co.kr)내 응모 페이지에
고급‧세련 콘셉트 루마니아 촬영 [이브닝신문/OSEN=김중기 기자] 코란도가 코란도C로 부활했다. 쌍용자동차(이하 쌍용차)는 코란도C 출시를 앞두고 지난 14일 공중파 CF를 선보였다. 쌍용차는 고급스러움과 세련됨을 뜻하는 ‘클래시’(
[OSEN=최나영 기자] 한류스타 SS501 김형준이 제임스본드로 변신해 눈길을 끈다. 김형준은 간미연의 첫번째 미니앨범 타이틀 곡 '파파라치' 티저영상에서 남자들의 영원한 로망인 007 제임스 본드로 변신했다. 영상 속 김형준은 깔끔한
경기회복과 함께 중국인 비자발급 완화조치에 따른 중국인 입국자 증가, 미국비자면제 효과에 따른 미주노선 수요 증가 등 여행수요가 늘어날 것으로 예상되면서 승무원의 올해 채용규모가 늘어날 것으로 보인다. 항공업계에 따르면 대한항공은 작년보다 20% 증가한 120
[OSEN=이지영 기자] 17일, 세 번째 미니 플러스 앨범 'REAL+'를 발표하며 후속곡활동을 시작하는 아이유가 컴백을 앞두고 15일 오후 '나만 몰랐던 이야기'의 티저영상을 공개했다.아이유의 후속곡 '나만 몰랐던 이야기'는 작곡가 윤상과 작사가 김이나의 합작품
[OSEN=호놀룰루(하와이), 이상학 기자] 2011년 한화는 마운드로 승부를 본다. 한대화 감독은 "작년과 투수진을 비교해 보면 조금 배가 부르다"며 웃어보였다. 과제들도 조금씩 해답을 찾아가고 있다. 박정진을 제외하면 불펜에 마땅한 좌완 투수가 없었던 부분도 답
[OSEN=박현철 기자]누가 절친한 친구 사이 아니랄까봐 두 사나이는 국내 복귀 후 3년 간 비슷한 궤적을 그렸습니다. 그리고 이들은 국내 무대 4년차 시즌 서로의 분발과 팀 성적 상승을 꿈꾸고 있습니다. 10여 년 간의 미국 외유를 마치고 2008년 한국 무
[OSEN=고치, 강필주 기자]"투구폼을 바꿨다".어느새 20대 후반이다. 좌완 박희수(28)가 새롭게 올시즌 각오를 다졌다. 박희수는 지난 12일 일본 고치 시영구장에서 열린 일본 독립리그팀 고치 FD(화이팅독스)와의 연습경기에 출장, 실점 없이 피칭을 마쳤다. 극단
[OSEN=이지영 기자] MBC 월화극 '짝패'에서 한지혜의 아역을 맡고 있는 진세연이 새침한 '조선시대 차도녀(차가운 도시 여성)'로 화제를 모으고 있다. '짝패'에서 진세연이 맡은 배역은 성초시의 외동딸이자 한지혜의 아역인 동녀. 첫 등장부터 한지혜를 쏙 닮
[OSEN=이지영 기자] 윤지민이 SBS 새 월화극 '파라다이스 목장'에 등장, 러브라인에 파란이 예고되고 있다. 15일 방송되는 8부에서는 이연희의 마음을 빼앗은 따도남, 주상욱이 숨겨왔던 충격적인 비밀이 공개된다. 출중한 외모는 기본
[OSEN=이지영 기자] 지난해 복어 요리를 먹고 의식불명 상태에 빠졌던 탤런트 현석이 건강한 모습으로 MBC '추억이 빛나는 밤에'에 출연했다.80년대 일요일 아침을 책임졌던 추억의 인기드라마 '한지붕 세가족'의 주인공들이 한지붕 반상회라는 이름으로 MBC
임윤아,'강렬한 레드'
박지현, 싱그러운 미소
한소희-전종서, 손 꼭 잡고 레드카펫 행진
아이브 장원영,'여신의 반전 뒤태'
키스오브라이프,’공항 런웨이’ [O! STAR]
드라마는 ‘스릴러’ 포토타임은 ‘훈훈’ 당신이 죽였다 제작발표회 [O! STAR]
아름다운 무대 미연,’Say My Name’ [O! STAR]
에스파 카리나, 앙증 맞은 고양이 [O! STAR]
"큰 거 있다" 유노윤호에게 ‘2’와 ‘6’이란? [O! STAR]