[OSEN=이지석 기자] '추추트레인' 추신수(28)가 네 차례나 출루하며 7경기 연속 안타 행진을 이어갔다. 테이블 세터로서 만점 활약을 펼친 추신수는 클리블랜드 인디언스의 11-0 대승에 앞장섰다. 추신수는 10일(한국시간) 프로그레시브필드에서 열린&nb
[OSEN=박현철 기자]팀은 2연패. 한 번 더 패하면 원정 3연전을 모두 내주는 동시에 격차가 1경기 차로 줄어드는 위기 상황이다. 두산 베어스 4년차 우완 임태훈이 팀의 위기 종식을 위해 선발로 마운드에 오른다.올 시즌 4승 3패 1세이브 1홀드 평균 자책점 6.14를
[OSEN=박광민 기자]극적인 역전승을 거둔 한화 이글스가 LG 트윈스와 위닝시리즈를 놓고 다툰다. 전날 9회초 신경현의 투런포로 극적인 역전승을 거둔 한화. 한대화 감독이 스트라이크, 볼 판정에 항의하다 퇴장을 당하는 악수가 있었지만 덕분에 선수들이 경기중
[OSEN=전성민 기자] 디에고 마라도나 아르헨티나 감독이 나이지리아전에 스리톱으로 나설 것으로 보인다. AP통신은 10일(이하 한국시간) "마라도나 감독이 세 명의 공격수를 준비했다"는 제목으로 기사를 게재하며 이날 프리토리아 대학교에
[OSEN=손찬익 기자] 소속 구단의 미래를 짊어질 기대주 이재곤(롯데)과 문성현(넥센)이 10일 목동구장에서 맞붙는다. 사이드암 이재곤은 롯데 마운드의 깜짝 스타나 다름없다. 지난달 29일 문학 SK전에서 7이닝 2실점으로 호투한 뒤 4일 대구 삼성전에서 데뷔 첫
[OSEN=이명주 기자] 올해 6월 문화계 전반이 주목하는 메인 포인트는 무엇일까. 스포츠 분야에서는 2010 남아공 월드컵을 앞두고 축구에 모든 관심이 집중돼 있고, 극장가는 갑자기 찾아온 불볕더위에 시원하고 통쾌한 영화를 찾는 관객들로 붐빈다. 드라마는 파격
[OSEN=윤가이 기자] 가수 브라이언이 비보이로 변신해 프로 비보이들과 깜짝 배틀을 펼쳤다.KBS JOY를 통해 방송되는 희망 멘토 찾기 프로젝트, 휴먼 네트워크 '어깨동무'의 MC를 맡고 있는 브라이언이 오는 14일 방송되는 비보이 편에서 숨겨두었던 춤 실
[OSEN=고용준 기자] 한국 팀의 경계 대상 1호는 역시 '산소탱크' 박지성이었다. 그리스 미드필더 흐리스토스 파차촐루(오모니아)가 2010 남아공 월드컵서 16강에 진출하기 위해서는 한국을 받드시 이겨야 한다며 위험 인물로
- 오랜 시간 에어컨 바람 피하고 외부온도차 5도 넘지 않도록- 빗길 미끄럼방지 위해 발을 감싸는 형태의 미끄럼 방지 신발 신어야 기상청은 올 여름 기온변화가 크고 집중호우가 발생할 가능성이 높은 것으로 예보하고 있다. 특히 고온다습한 우
[OSEN=이정아 기자]삐삐밴드 출신 가수 겸 스타일리스트 이윤정과 이현준이 부부가 된다.이윤정과 이현준은 10일 오후 6시 서울 역삼동 GS타워 아모리스에서 결혼식을 올린다. 이윤정과 이현준은 지난 2007년 처음 만나 2008
[OSEN=박린 기자] 자유계약선수(FA) 권영민(30)이 원소속팀인 천안 현대캐피탈과 연봉 2억 원에 3년 계약을 체결했다.세터 권영민은 지난달 20일 원소속 구단인 현대캐피탈과 재계약이 결렬됐고 타 구단 협상 마감시한인 지난달 31일까지 선택을 받지 못해 10일까
-중개료 0원, 금융대출 상품비교 사이트 캐싱코리아 ‘대출’이라는 말이 언제부턴가 무서운 단어가 되어버렸다. 사채로 빚더미에 앉고 급기야 자살까지 하는 사건들이 일어나면서, 유용하게 활용하면 도움이 되는 대출이 안 좋은 것으로 인식되어가는
[OSEN=윤가이 기자] 배우 소이현이 전속 모델로 활동중인 화장품 브랜드 ‘페리페라’의 여름 화보 ‘스파클링 썸머’를 통해 상큼한 여름 여신으로 변신했다.데뷔 초와 변함없이 청순한 매력과 투명한 피부를 자랑하는 소이현은 ‘여성 스타들의 로망’인 화장품
-‘엠ⓜ제주’, 국내 최초 모바일(Mobile) 제주 관광 가이드 서비스 제공 회사원 서영주(가명, 27세)씨는 오랜만에 제주도 여행을 갈 생각에 마음이 들떠있다. 그 동안 쌓였던 업무 스트레스와 피로를 날려버리고, 이국적인 정취를 풍기는 환상의
[OSEN=이지영 기자] MBC 주말극 '민들레 가족'에서 커플로 출연 중인 김동욱, 이윤지가 실제로는 '형제'처럼 지낸다고 밝혔다. 극 중 여러가지 사정으로 계약 결혼을 했다가 사랑에 빠지게 되는 김동욱, 이윤지 커플은 멋진 연기 호흡을 보여주며 '실제
[OSEN=최나영 기자] 2010년 상반기 극장가는 할리우드 블록버스터의 공습에 맞선 한국영화의 선방이 눈에 띄었다. 또 눈에 띄는 신인들도 배출해냈다. 상반기 극장가에서 관객들을 사로잡은 '뉴 페이스'들은 누구일까?최근 박
[OSEN=고용준 기자] 역시 철저한 현지화만이 살 길이었다. 무려 8년 전 게임이 철저한 현지화 흥행몰이에 성공했다. 최근 T3 대만지사를 통해 서비스가 재개된 온라인게임 위드가 현지 시장에서 돌풍을 일으키고 있어 화제다. 위드는 무려 8년 전인 2002년 8월에
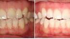
분당에 사는 김모씨는 지금 꿈에 부풀어 있다. 못생긴 치아로 받은 스트레스에서 벗어날 날이 얼마 남지 않았기 때문이다. 벌써 2년째 계속해오고 있던 교정치료도 다음 달이면 치료가 끝난다. 지긋지긋했던 장치를 제거하고 나면 치아미백을 할 생각이다. 교정치료로
머리가 좋다고 반드시 성적이 좋은 것은 아니다. 평균적으로 일정 수준 이상의 지능을 가지고 있는 경우 지능과 성적이 비례하지 않다는 말이다. 성적은 학습 중 얼마나 집중을 하느냐에 달려있다. 집중력이 부족한 경우 공부에 주의를 기울이지 않으며 실수를 잘 하
[OSEN=조경이 기자] 제시카 알바, 케이트 허드슨, 케이시 애플렉 주연의 섹슈얼 서스펜스‘킬러 인사이드미’가 섹시 파격 스틸을 공개했다. 영화 ‘킬러 인사이드 미(the killer inside me)’는 모든 것이 우아하고 완벽한 보안관이 콜
레드벨벳 조이, 힘차게 시구
프로미스나인 이채영, 사랑스러워
있지 유나, 섹시한 시구
오드유스 써머, 핫팬츠 아찔 시구
장원영, 인간 체리 워뇨 (full) [O! STAR]
안지현 치어리더, 압도하는 '뱅뱅' 공연 [O! SPORTS 숏폼]
‘케데헌’ 이재, “골든 저작권료? 엄마 선물 사드릴 듯”[O! STAR 숏폼]
LG 승요 강림 있지 유나, 시구 자체가 화보 컷 [O! SPORTS 숏폼]
LG 차영현 치어리더, 팀장님의 아찔한 사복패션 공연 [O! SPORTS 숏폼]