[OSEN=황민국 기자] "난 경매에 오른 상품이 아니다".호나우디뉴(31)가 브라질 복귀가 지연되고 있는 원인으로 AC 밀란의 이적료 요구를 꼽으면서 불만을 토로한 얘기다. 호나우디뉴는 올 시즌 AC 밀란의 주전 경쟁에서 밀린 나머지 자신이 프로에 데
'폭풍의 연인', 너무 잘 만들어 시청률이 안 나오는 일일극[OSEN=정덕현의 네모난 세상] 이건 일일드라마라고 하기엔 너무 촘촘하다. 이야기의 스케일이나 캐스팅, 그리고 화려한 연출스타일은 대하드라마 같은 느낌마저 준다. '폭풍의 연인'이라는 일일드라마 얘기
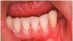
-주기적인 진료와 치료를 받는 것이 무엇보다 중요경기도에 사는 20살 A씨는 어렸을 적부터 자주 입이 헐어왔다고 한다. 어릴 때는 한 달에 두 번 정도 증상을 보여왔고, 성인이 되어서는 입안에 허는 부위가 점차 퍼져나가며 걷잡을 수 없는 지경까지 오고야 말았다.
[OSEN=이혜린 기자]엠넷 '슈퍼스타K2'의 장재인이 공식 데뷔도 하기 전에 팝스타 메리 제이 블라이즈 내한공연의 오프닝 무대에 서기로 결정, 상당한 티켓 파워를 발휘하며 여전한 인기를 입증하고 있다. 공연 주최사 측은 "장재인이 오프닝에 선다는 소
[데일리웨프/OSEN=박주혜 기자] 호주와 홍콩을 동시에 갈 수 있을까? 마이투어에서는 청정자연 호주와 쇼핑천국 홍콩을 한 번에 느낄 수 있는 상품을 마련했다. 호주의 최고 성수기 시즌인 1월~3월 사이에 즐길 수 있는 상품으로 선착순 예약한 5쌍의
[데일리웨프/OSEN=최고은 기자] 기존에 봐왔던 서양의 팝아트가 아닌 다른 방식으로 접근한 아시아 팝 아트 한∙ 중∙ 일 대표 작가의 현대미술 ‘Made in Popland' 전이 내년 2월 20일까지 국립현대미술관에서 열린다. 50~60년대
[OSEN=이명주 기자] 세계적인 축구 스타 데이비드 베컴(36)의 부인이 완벽한 줄 알았던 남편으로부터 색다른 모습을 발견했다고 밝혀 눈길을 끌고 있다. 빅토리아 베컴(37)은 최근 매거진 보그 영국판 2월호와의 인터뷰에서 “(데이비드와 결혼한 지 11년째인데) 최
[OSEN=최나영 기자] 팬들이 TV에서 자주 보고 싶어도 볼 수 없었던 스타들이 올해에는 방송에서 날갯짓하며 비상할 수 있을지 관심을 모으고 있다. 전국민 오디션 프로그램이었던 엠넷 '슈퍼스타K2'의 우승자로 2010년 디지털 싱글 앨범 '언제나'를 발매한 허각
[OSEN=전성민 기자] "2004년 이후 FA컵서 우승하지 못했다. 올해에는 트로피를 다시 가져오고 싶다".라이벌 리버풀과 FA컵서 맞대결을 앞두고 있는 잉글랜드 프리미어리그 맨체스터 유나이티드(이하 맨유)의 알렉스 퍼거슨(70) 감독
[OSEN=이지영 기자] SBS 새 수목드라마 '싸인'이 국내 최초로 법의학자들의 이야기를 소재로 시청자들의 시선을 사로잡은 가운데 극 중 열혈 강력계 형사 최이한 역의 정겨운의 변신이 눈길을 끌고 있다.정겨운은 전작 드라마 '닥터챔프'에서 유쾌하고 밝은 국가
[OSEN=윤가이 기자] SBS 수목드라마 '아테나 : 전쟁의 여신'이 드라마 사상 최초로 인천대교에서 대규모 액션 촬영을 진행한다.회가 거듭될수록 흥미진진한 스토리 전개가 시청자들을 사로잡고 있는 '아테나'가 인천대교에서 촬영할 이번 장면은 드라마 최고의
[데일리웨프/OSEN=정현혜 기자] 푸석푸석해진 머릿결, 정전기 때문에 고민되는 겨울철. 윤기 나는 머릿결을 가꾸기 위해서는 피부와 마찬가지로 두피에도 철저한 수분관리가 필요하다. 내 머릿결을 지키기 위한 첫 번째 단계는 올바른 샴푸를 선택하는 것이다. 샴
[OSEN=이지영 기자] MBC '황금어장'이 박칼린 출연에 힘입어 자체최고 시청률을 경신했다. 6일 시청률조사기관 AGB닐슨미디어리서치에 따르면 '황금어장' 5일 방송이 22.6%를 기록, 지난해 5월 26일 기록한 자체최고 21.7%를 경신한 것으로 나타났다
[데일리웨프/OSEN=정현혜 기자] 2011년이 새롭게 시작되는 힘찬 1월에는 다양한 눈꽃축제들이 열려서 더욱 즐겁다. 전국 각지에서 열리는 눈꽃 축제는 설경뿐만 아니라 여러 가지 체험 프로그램들이 준비되어 있어서 사랑하는 가족 그리고 친구들과 함께 아름다운
<사진. PAT> [데일리웨프/OSEN=김윤
[OSEN=이지영 기자] 송승헌, 김태희가 2년 동안 고전을 면치못했던 MBC 수목극 구원자로 나섰다,6일 시청률 조사기관 AGB닐슨미디어리서치에 따르면 '마이 프린세스'는 5일 첫방송에서 15.9%를 기록, '베토벤 바이러스'(2008) 이후 뚜렷한 히트작을
[OSEN=강필주 기자]역시 예비 FA 인플레는 없었다.SK 불펜의 핵 이승호(30)가 처음으로 2억 원대 연봉을 받았다.이승호는 지난 5일 일본 오키나와에서 가진 2011시즌 연봉 재계약 협상에서 작년 연봉 1억 3500만 원에서 48.1%(6500만 원)이 오른 2억 원에 사인
[OSEN=조경이 기자] 배우 정우성이 영화 ‘상하이’에서 공리의 보디가드 역으로 출연 제의를 받았던 사실이 전해져 화제다. 미국, 중국, 일본 각 나라를 대표하는 존 쿠삭, 주윤발, 공리, 와타나베 켄의 출연으로 관객들의 기대를 한 몸에 받고 있는 영화 ‘상하이
[OSEN=봉준영 기자] 신년 연초부터 극장가의 한국영화가 75%라는 압도적인 점유율을 기록하며 박스오피스를 점령하고 있다.영화진흥위원회 입장권통합전산망에 따르면 5일부터 6일 오전까지의 박스오피스 순위를 보면 1위에서 4위까지 모두 한국영화가 이름을 올렸
[OSEN=윤가이 기자] 인기 드라마 SBS '시크릿가든'이 스포일러로 몸살을 앓고 있다. 앞서 주인공 라임(하지원 분)과 주원(현빈 분)의 영혼이 체인지 되는 시점과 횟수 등이 담긴 스포일러가 공개돼 곤혹을 치렀던 '시크릿가든'이 5일 오후, 라임이 교통사고를 당
임윤아,'강렬한 레드'
박지현, 싱그러운 미소
한소희-전종서, 손 꼭 잡고 레드카펫 행진
아이브 장원영,'여신의 반전 뒤태'
골프 세리머니 이청용, 신태용 감독 저격??? [O! SPORTS 숏폼]
이주은 야구 대표팀 치어리더, 체코 전통 의상 입고 상큼 공연 [O! SPORTS 숏폼]
에스파 카리나, 넘사벽 비주얼 [O! STAR 숏폼]
가을 나들이 나온 있지 포착[O! STAR 숏폼]
젠슨 황 샤라웃 받은 르세라핌 무대[O! STAR 숏폼]